Andrea Amell Serpa ID• María Eugenia Orozco ID• Pablo Eugenio Chiaradia ID• Diana Rodríguez Diaz ID• Juan Manuel Galván ID• Nebil Larrañaga ID
Centro de Educación Médica e Investigaciones Clínicas “Norberto Quirno” (CEMIC). Ciudad Autónoma de Buenos Aires, Argentina
Acta Gastroenterol Latinoam 2022;52(1):57
Recibido: 10/01/2022 / Aceptado:
14/03/2022 / Publicado en www.actagastro.org el
30/03/2022 / https://doi.org/10.52787/agl.v52i1.148
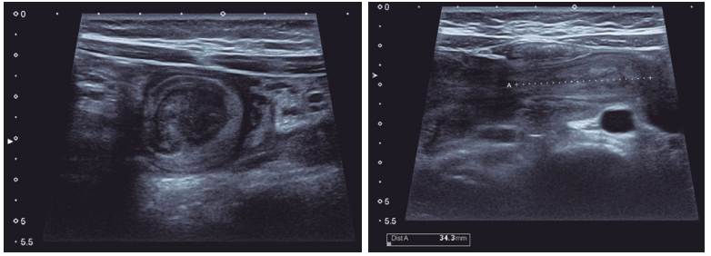
Varón de 5 años de edad, que presentó cuadro clínico de tres semanas de evolución, caracterizado por dolor abdominal de tipo cólico, a predominio periumbilical y en el flanco derecho, asociado a vómitos ocasionales durante el lapso de evolución. Consultó en el centro asistencial, donde se observó al momento de la valoración física, abdomen blando, doloroso a la palpación profunda, asociado a masa palpable en hemiabdomen derecho, sin signos francos de irritación peritoneal. Se le realizó una ecografía abdominal, que evidenció a nivel del hipocondrio y flanco derecho una imagen redondeada, con centro ecogénico, y dos anillos hipoecogénico e hiperecogénico periféricos (Figuras 1 y 2).
Figuras 1 y 2. Ecografía abdominal en cortes transversales y longitudinales.
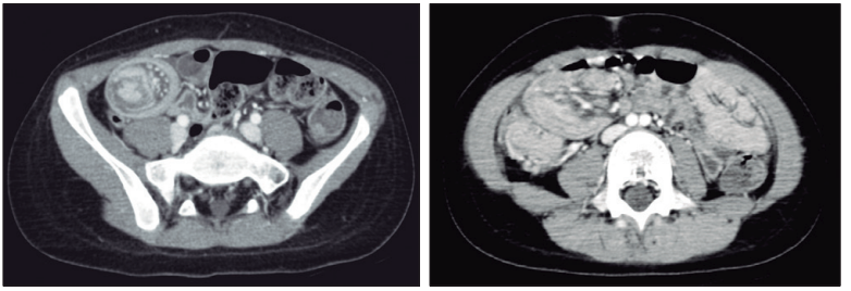
Posteriormente, se le indicó una tomografía computada multidetector abdominal sin contraste, que evidenció, a nivel del hemiabdomen derecho, una masa con densidad de partes blandas de aspecto de diana, asociada a escasa cantidad de líquido adyacente e ingurgitación de vasos mesentéricos (Figuras 3 y 4).
Figuras 3 y 4. Tomografía computada con contraste endovenoso en cortes axiales.
El paciente fue valorado por cirugía pediátrica, y se consideró llevar a cabo un
procedimiento quirúrgico mediante laparoscopía exploradora y realizar una resección
intestinal.
El procedimiento fue tolerado sin complicaciones, y se realizó el
posterior seguimiento y recomendaciones (Figura 5).
Resolución del caso en la página 106
Correspondencia:Andrea Amell Serpa
Correo electrónico: apamell@hotmail.com
Acta Gastroenterol Latinoam 2022;52(1):57