Guillermo Carnevale ID· Sergio Mauricio Rubel Cohen ID· Guillermo D'Ottavio ID· Jordana De Melo ID· Daniel Pozzi ID· Federico Bucciarelli ID· Juan Cardona ID
Hospital Italiano Rosario, Santa Fe, Argentina.
Acta Gastroenterol Latinoam 2024;54(1):98-102
Recibido: 17/08/2023 / Aceptado: 27/02/2024 / Publicado
online el 25/03/2024 /
https://doi.org/
10.52787/agl.v54i1.342
El tumor de células granulares es una neoplasia que se origina de las células de Schwann. La localización esofágica es infrecuente. Si bien ciertas características endoscópicas caracterizan a estas lesiones, para su correcto diagnóstico es necesario utilizar el ultrasonido endoscópico junto al examen histopatológico con análisis inmunohistoquímico. Reporte de caso. Varón de 56 años que consulta por disfagia y pirosis. En el estudio endoscópico se observa a nivel del tercio inferior esofágico una lesión elevada subepitelial, con zonas de erosión mucosa. Se realiza una ecoendoscopía que muestra una lesión hipoecogénica, de límites definidos, que asienta sobre la capa muscularis mucosae. La lesión se extrae mediante la técnica de disección submucosa endoscópica. Finalmente, tras la utilización de inmunohistoquímica se arriba al diagnóstico de tumor de células granulares, observándose la expresión de la proteína S100 y el marcador CD68 positivos. Conclusión. El tumor de células granulares es una causa infrecuente de lesión subepitelial esofágica. Su principal diagnóstico diferencial son los tumores estromales. La ecoendoscopía y el análisis histopatológico con utilización de inmunohistoquímica son fundamentales para su correcto diagnóstico y posterior tratamiento.
Palabras claves. Tumor de células granulares, endoscopía digestiva, disección endoscópica submucosa, ecoendoscopía.
Granular cell tumor is a neoplasm that originates from Schwann cells. Esophageal localization is rare. Although certain endoscopic features characterize these lesions, endoscopic ultrasound together with histopathological examination with immunohistochemical analysis are essential for their correct diagnosis. Case report. A 56-year-old male consulted for dysphagia and pyrosis. Endoscopic examination revealed an elevated subepithelial lesion in the lower third of the esophagus with areas of mucosal erosion. Echoendoscopy showed a hypoechogenic lesion with defined borders located on the muscularis mucosae layer. The lesion was removed using an endoscopic submucosal dissection technique. Finally, after the use of immunohistochemistry, the diagnosis of granular cell tumor was reached, with positive expression of S100 protein and CD68 marker. Conclusion. Granular cell tumor is a rare cause of esophageal subepithelial lesion. Its main differential diagnosis is stromal tumor. Echoendoscopy and histopathologic analysis with the use of immunohistochemistry are essential for its correct diagnosis and subsequent treatment.
Keywords. Granular cell tumor, digestive endoscopy, endoscopic submucosal dissection, echoendoscopy.
Abreviaturas
TCG: Tumor de células granulares.
SNP: Sistema nervioso periférico.
USE:
Ultrasonido Endoscópico.
VEDA: Videoendoscopia digestiva alta.
TCMS: Tomografía
computada multislice.
IHQ: Inmunohistoquímica.
GIST: Tumores del estroma
gastrointestinal.
RME: Resección mucosa endoscópica.
DSE: Disección submucosa
endoscópica.
H&E: Hematoxilina - eosina.
TC: Tomografía
computada.
AP: Anatomía patológica.
Los tumores de células granulares (TCG) son neoplasias infrecuentes y benignas en su mayoría, que se originan de las células de Schwann del sistema nerviosos periférico (SNP). El compromiso gastrointestinal es infrecuente, siendo el esófago el sector más afectado.1
El ultrasonido endoscópico (USE), constituye una herramienta diagnóstica importante. Por un lado, permite realizar la punción para el estudio anatomopatológico e inmunohistoquímico; por otro, permite definir las diferentes opciones terapéuticas: resección mucosa o disección submucosa endoscópica.2
En esta ocasión presentamos el hallazgo endoscópico de un TCG esofágico que requirió la extirpación con técnica de disección submucosa endoscópica, arribando al diagnóstico definitivo mediante la utilización de técnicas de inmunohistoquímica.
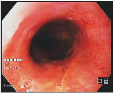
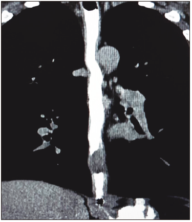
Paciente varón de 56 años, que consultó por pirosis y disfagia, indicándose la realización de una videoendoscopia digestiva alta (VEDA). Se observó en el tercio inferior esofágico una lesión elevada, erosionada, con un tamaño estimado de 20 mm, subpediculada y de aspecto subepitelial (Figura 1). Presentaba una importante dureza al tacto con el fórceps de biopsia. Se realizó una tomografía computada multislice (TCMS) de tórax, observando la lesión en la pared del tercio inferior esofágico, hipodensa y homogénea, sin compromiso del mediastino ni de órganos vecinos (Figura 2).
Figura 1.
Figura 2.
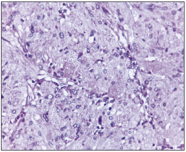
Posteriormente, el USE informó una lesión redondeada, hipoecoica, de 25 x 16 mm de diámetro, localizada en la capa muscularis mucosae, en íntimo contacto con la submucosa (Figura 3). Se realizó la punción con aguja de 19G, informándose tumor de células granulares, inmunohistoquímica (IHQ) con expresión de proteína S100 y marcador CD68 fuertemente positivos (Figuras 4, 5, 6 y 7).
Figura 3. Ecoendoscopia con punción
Figura 4. Hematoxilina Eosina Citoplasma con Células Granulares sin Atipía
Figura 5. Tincion Pas Resaltando Granulado Citoplas-mático
Figura 6. IHQ expresion cd 68 positivo
Figura 7. IHQ expresion positiva para proteina S 100
Debido a las características de la lesión (tamaño > a 2 cm y origen en capa muscularis mucosae), se decide retirarla con técnica de disección submucosa.
Finalmente, a los 3 meses del procedimiento terapéutico, se realiza el control endoscópico observando la mucosa esofágica cicatrizal sin complicaciones tardías. (Figuras 8 y 9).
Figura 8.
Figura 9.
Los TCG son neoplasias infrecuentes. Fueron descriptos por Abrikossoff en 1926 como un mioblastoma de células granulares.3 Posteriormente, por técnica de IHQ se supo que su origen estaba en las células de Schwann del SNP.4
En general, son tumores de comportamiento benigno, aunque pueden existir formas malignas, en especial las que adquieren un tamaño > a 5 cm.5
La edad de presentación oscila entre los 19 y 65 años, con predilección por el sexo femenino.6
El compromiso del aparato digestivo es infrecuente. El esófago es el sitio del tracto gastrointestinal afectado con mayor frecuencia y su primera descripción a este nivel fue en el año 1931.7
A nivel esofágico, suelen ubicarse en el tercio distal y por lo general son asintomáticos, siendo diagnosticados como un hallazgo endoscópico. Cuando son múltiples y/o mayores de 1 cm pueden presentar síntomas de pirosis, reflujo y/o disfagia.8
En nuestro paciente la lesión resultó ser de 2.5 cm en su diámetro mayor y podría interpretarse como sintomática; además los síntomas desaparecieron tras su resección.
Endoscópicamente suelen ser tumores sésiles, de superficie blanquecina y con mucosa respetada, aunque pueden estar erosionados o incluso ulcerados, como en nuestro caso.9
Con el USE, se observan hipoecogénicos y homogéneos, afectando mucosa y/o submucosa.
Los principales diagnósticos diferenciales incluyen: GIST, leiomiomas, neurofibromas y xantomas.10
La IHQ constituye una herramienta fundamental para su diagnóstico. Presentan positividad para proteína S100; CD68 y CD56, entre otros marcadores de menor frecuencia.11
En la actualidad, no existe un consenso sobre su tratamiento. Son pocos los estudios que discuten el manejo de estas lesiones. Además, la información disponible proviene de casos aislados o de series con un reducido número de pacientes, y no se cuenta con estudios aleatorizados y controlados que evalúen las diferentes opciones terapéuticas.
Se sugiere que las lesiones < 1cm sean controladas por USE anualmente. Por otra parte, las de mayor tamaño, sintomáticas y/o de rápido crecimiento deberán ser tratadas. En tal sentido, el abordaje endoscópico es preferido por sobre la resección quirúrgica tradicional, resultando menos invasivo y con baja tasa de complicaciones.12
La resección mucosa, constituye la técnica endoscópica más utilizada, presentando como limitantes, el tamaño de la lesión > 1 cm y el compromiso de la capa muscularis mucosae o profunda.13
Por su parte la disección submucosa, realizada por profesionales capacitados, resulta una técnica ideal, con posibilidad de extracción de lesiones de mayor tamaño y en bloque desde capas más profundas como la submucosa.13
Los TCG deben ser considerados como posibilidad diagnóstica en las lesiones subepiteliales del esófago. En general, son tumores benignos, pero con posibilidad de malignizarse en un bajo porcentaje de los casos. El USE constituye una herramienta fundamental para su estudio y evaluación. En la actualidad no existe un consenso sobre su tratamiento. Las técnicas endoscópicas utilizadas son la resección mucosa y la disección submucosa, siendo esta última de elección en lesiones de gran tamaño y que comprometan capas profundas. Finalmente, se recomienda el seguimiento endoscópico por la posibilidad de recurrencia, principalmente en aquellas lesiones que presentaron rápido crecimiento y/o gran tamaño.
Consentimiento para la publicación. Para la confección de este manuscrito, se utilizaron datos anonimizados que no han distorsionado su significado científico.
Propiedad intelectual. Los autores declaran que los datos y las figuras presentes en el manuscrito son originales y se realizaron en sus instituciones pertenecientes.
Financiamiento. Los autores declaran que no hubo fuentes de financiación externas.
Conflicto de interés. Los autores declaran no tener conflictos de interés en relación con este artículo.
Aviso de derechos de autor

© 2024 Acta Gastroenterológica Latinoamericana. Este es un artículo de acceso abierto publicado bajo los términos de la Licencia Creative Commons Attribution (CC BY-NC-SA 4.0), la cual permite el uso, la distribución y la reproducción de forma no comercial, siempre que se cite al autor y la fuente original.
Cite este artículo como: Carnevale G, Cohen S M R, D'Ottavio G y col. Tumor de células granulares esofágico, metodología de estudio y diagnósticos diferenciales: reporte de un caso. Acta Gastroenterol Latinoam. 2024;54(1):98-102. https://doi.org/10.52787/agl.v54i1.342
Correspondencia:
Guillermo Carnevale
Correo electrónico: carnevaleguillermo@gmail.com
Acta Gastroenterol Latinoam 2024;54(1):98-102