Laura Juliana Jaime Ardila1 ID· Jorge Carmelo Martínez1 ID· Juan Sebastián Frías Ordoñez2 ID Carlos Mauricio Martínez2 ID · Oscar Fernando Ruiz Morales2,3 ID· Martín Alonso Gómez Zuleta2,3 ID
1 Medicina Interna. Universidad Nacional de Colombia.
2 Gastroenterología. Universidad Nacional de Colombia.
3 Gastroenterología y Endoscopia Digestiva. Hospital Universitario Nacional de
Colombia.
Bogotá, Colombia.
Acta Gastroenterol Latinoam 2023;53(4):346
Recibido: 19/12/2023 / Aceptado: 22/12/2023 / Publicado online el
29/12/2023 / https://doi.org/10.52787/agl.v53i4.368
Presentación del caso
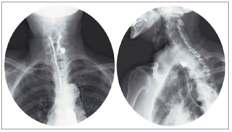
Paciente femenina de 83 años, con antecedentes de cardiopatía isquémica, hipertensión arterial y dependencia funcional, quien ingresó por cuadro agudo de melenas, náusea y anorexia. Al ingreso al servicio de urgencias se encontraba sin signos de choque, con tacto rectal positivo para melena y documentación de anemia sin criterios de transfusión. Se realizó esofagogastroduodenoscopía, que reportó dos desgarros mucosos cardiales, uno de ellos con signos de sangrado reciente, por lo cual se realizó hemostasia con clip, sin complicaciones. Adicionalmente, se halló un divertículo en esófago cervical, inicialmente clasificado como divertículo de Zenker, por lo cual se indicó caracterización por medio de radiografía de vías digestivas altas (Figura 1).
Figura 1. Radiografía de vías digestivas con paciente en posición
erguida: las radiografías obtenidas en proyecciones frontal y oblicua muestran opacificación diverticular en
nivel lateral izquierdo en esófago cervical, justo a nivel inferior del músculo cricofaríngeo con cuello de
4 mm y longitud de 20 mm
Resolución del caso en la página 401
Correspondencia: Juan Sebastián Frías Ordoñez
Correo electrónico: jsfriaso@unal.edu.co
Acta Gastroenterol Latinoam 2023;53(4):346