Fernanda Alicia Baldeón Figueroa1 ID· Jean Zamora Medina2 ID· Omar Santos Moreno3 ID Laura Gabriela Soriano Tochimani4 ID· Georgina Loyola Rodríguez5 ID· Jorge Antonio Rojas González6 ID· Federica Riccio Cuomo4 ID
1 Patóloga pediatra.
2 Residente de Imagenología Diagnóstica y
Terapéutica.
3 Jefe del Departamento de Radiología.
4
Universidad Anáhuac Puebla, Escuela de Medicina, San Andrés Cholula, Puebla,
México.
5 Jefa del Departamento de Anatomía Patológica.
6
Radiólogo oncólogo.
Hospital ISSSTEP, Avenida Ejido, Puebla, 72550 Heróica Puebla de Zaragoza,
Puebla, México.
Acta Gastroenterol Latinoam 2024;54(1):92-97
Recibido: 16/12/2023 / Aceptado: 14/02/2024 / Publicado
online el 25/03/2024 /
https://doi.org/10.52787/agl.v54i1.378
El páncreas heterotópico en la vesícula biliar es una lesión rara, asintomática, que se ha identificado en pacientes que cursan con colelitiasis u otras enfermedades de la vía biliar, siendo un diagnóstico incidental hasta el momento en que se reporta mediante el diagnóstico histopatológico. Descripto por primera vez en 1916 por Otschkin, desde entonces se han reportado en la literatura mundial 41 casos; este sería el caso 42, cuarto a nivel nacional y el primero en reportarse a nivel estatal.
Se presenta el caso de una paciente femenina en la cuarta década de la vida, cuya manifestación clínica fue la de un cólico biliar secundario a una colecistitis crónica agudizada diagnosticada en base a la clínica y el ultrasonido. Una vez realizada la colecistectomía, el diagnóstico histopatológico fue páncreas ectópico en la pared de la vesícula biliar, colecistitis crónica agudizada y litos puros de colesterol.
Palabras claves. Páncreas, colelitiasis, colecistitis.
Heterotopic pancreas in the gallbladder is a rare and asymptomatic lesion, which has been identified in patients with cholelithiasis or other diseases of the biliary tract, being an incidental diagnosis so far reported by histopathological diagnosis. Forty-one cases have been reported in the world literature, so it would correspond to the number 42; described for the first time since 1916 by Otschkin the fourth at a national level and the first reported at the state level.
We present a female patient in the fourth decade of life. With biliary colic secondary to acute chronic cholecystitis by clinical and ultrasound, the histopathological diagnosis was ectopic pancreas in the gallbladder wall, acute chronic cholecystitis, and pure cholesterol lithiasis.
Keywords. Pancreas, cholelithiasis, cholecystitis.
El tejido pancreático ectópico se considera una anormalidad embriológica, el cual se define por la presencia de tejido pancreático normal en una localización atípica.1-3 Los sitios más frecuentes según la literatura internacional son el estómago, el duodeno y el intestino delgado y, con muy poca frecuencia, la vesícula biliar, el bazo, el pulmón, el mediastino, el hígado e incluso la trompa de Falopio.4, 5, 6
Histológicamente, es similar al páncreas normal. Puede contener glándulas exocrinas, ductos e incluso se han reportado algunas piezas con islotes de Langerhans y se ha clasificado dependiendo de la diferenciación histológica.
El páncreas se desarrolla por dos esbozos: uno ventral y otro dorsal. La yema pancreática ventral se desarrolla unida al conducto que formará el colédoco y la vesícula biliar. A medida que el duodeno rota hacia la derecha y adquiere su característica configuración en “C”, la yema pancreática ventral se desplaza dorsalmente junto con el colédoco,7,8 siendo probable que parte del páncreas primitivo quede integrado y desplazado en el colédoco o la vesícula biliar, originándose de esta manera la ectopia.
El páncreas heterotópico fue descripto por primera vez por Jean Schultz en 1729, y definido como tejido pancreático en una localización anatómica que no tiene relación con la glándula pancreática.6
Actualmente, se conocen dos hipótesis respecto de su etiología: la primera es la implantación de tejido pancreático embriónico al momento de la rotación intestinal hacia la sexta semana de gestación, y la segunda es la metaplasia pancreática inapropiada de tejido endodérmico durante la embriogénesis.9
El páncreas ectópico que se presenta en la vesícula biliar es poco frecuente y raro. Hasta el año en curso se han reportado 41 casos en la literatura internacional,5,6 Su prevalencia del 0,5% es marcadamente más baja, en comparación con aquellos casos localizados en el sitio más frecuente (estómago), cuya prevalencia es de hasta un 25% - 38%.10, 11 La primera clasificación de páncreas ectópico fue descripta por Von Heinrich y luego modificada por Gaspar Fuentes. Allí se describe 4 tipos (Tabla1).12, 13
Tabla 1. Clasificación de páncreas ectópico modificada por Gaspar Fuentes
Paciente femenina de 39 años, residente del estado de Puebla, que acudió al servicio de urgencias del hospital ISSSTEP, refiriendo dolor en hipocondrio derecho de 4 días de evolución, con escala de evaluación a la algesia 10/10. Además, presentó náuseas y vómitos. A la exploración, la paciente presentaba sobrepeso, con un índice de masa corporal de 27.7, frecuencia cardíaca de 118 latidos por minuto, temperatura de 38.5°, signo de Murphy positivo sugestivo de colecistitis, si bien la paciente mencionó antecedente de litiasis vesicular de 10 años de evolución, los estudios de laboratorio mostraron leucocitosis de 16,23 x103 mm3 a expensas de neutrófilos.
Se solicitó un ultrasonido de hígado, vesícula biliar y páncreas, el cual evidenció una imagen hiperecoica en fondo de la vesícula biliar compatible con lito, engrosamiento de la pared y signo de Murphy ecográfico positivo, compatible con colecistitis crónica agudizada más hidrocolecisto por volumen vesicular de 127,30 cc (Figura 1).
Figura 1. Ultrasonido en escala de grises, con transductor convexo
El servicio de cirugía general realizó colecistectomía laparoscópica sin incidentes reportados, con diagnóstico posoperatorio de colecistitis crónica litiásica más piocolecisto. Se envió la pieza quirúrgica para estudio histopatológico (Figuras 2 y 3).
Figura 2. Producto de colecistectomía
Figura 3. Cortes histológicos
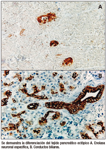
Se realizó el estudio de inmunohistoquímica, que presentó un inmunoperfil CK 7 positivo en epitelio de los ductos, enolasa neuronal específica, cromogranina y CD56 positivo en los islotes de células de Langerhans, lo cual demostró la diferenciación del parénquima pancreático ectópico correspondiente a una categoría tipo I de la Clasificación para páncreas ectópico (Tabla 2) (Figura 4).
Table 2. Estudio de inmunohistoquímica
Figura 4. Estudio de inmunohistoquímica
Se determinó el diagnóstico histopatológico de: colecistitis crónica agudizada, necrosis isquémica, hipoxia tisular sostenida, páncreas ectópico de 1 cm de diámetro mayor, colelitiasis (cálculos puros de colesterol).
Este caso es interesante por la rareza de su naturaleza, por lo que cada vez que se presenta debe ser reportado. En nuestro caso, se identificó tejido pancreático ectópico en la pared de la vesícula biliar, que es un sitio poco frecuente y raro: hasta el año en curso se han reportado 41 casos en la literatura internacional.5, 6
Epidemiológicamente, se puede encontrar a cualquier edad, pero es más frecuente entre la cuarta y la quinta década de la vida, como ocurre en nuestro caso. Se ha descripto que el páncreas ectópico en la vesícula biliar es más común en hombres;1 sin embargo, se diagnostica con más frecuencia en mujeres, debido a que estadísticamente la patología vesicular quirúrgica es más frecuente en el sexo femenino, como ocurre en nuestro caso, que se presentó con manifestaciones clínicas de cólico biliar.1, 10
En este caso, el tejido ectópico pancreático fue un hallazgo incidental mediante la examinación anatomopatológica, como en todos los casos descriptos en la literatura, ya que hasta el momento es el patrón de oro para el diagnóstico.
En retrospectiva, analizando las imágenes del ultrasonido, se piensa que pudo haber una relación entre la ecogenicidad de la pared vesicular y la ecogenicidad en el páncreas, ya que notamos que ambos segmentos tenían similitudes ecográficas, coincidiendo con el nódulo descripto por patología; sin embargo, al ser una entidad poco frecuente, aun en manos experimentadas puede pasar desapercibido en el área de imagen.
Considerando el diagnóstico de este caso, creemos conveniente reportarlo para facilitar la identificación y el diagnóstico oportuno en casos futuros, además de contribuir y enriquecer el conocimiento médico.
Consentimiento para la publicación. Se obtuvo el consentimiento informado por escrito del paciente o su padre, tutor o familiar, para la publicación de los datos y/o imágenes clínicas en beneficio de la ciencia. La copia del formulario de consentimiento se encuentra disponible para los editores de esta revista.
Propiedad intelectual. Los autores declaran que los datos, las figuras y las tablas presentes en el manuscrito son originales y se realizaron en sus instituciones pertenecientes.
Financiamiento. Los autores declaran que no hubo fuentes de financiación externas.
Conflicto de interés. Los autores declaran no tener conflictos de interés en relación con este artículo.

© 2024 Acta Gastroenterológica Latinoamericana. Este es un artículo de acceso abierto publicado bajo los términos de la Licencia Creative Commons Attribution (CC BY-NC-SA 4.0), la cual permite el uso, la distribución y la reproducción de forma no comercial, siempre que se cite al autor y la fuente original.
Cite este artículo como: Baldeón Figueroa F A, Zamora Medina J, Santos Moreno O, Soriano Tochiman L G. Páncreas ectópico en vesícula biliar: reporte de un caso y revisión de la literatura. Acta Gastroenterol Latinoam. 2024;54(1):92-97. https://doi.org/10.52787/agl.v54i1.378
Correspondencia:
Federica Riccio Cuomo
Correo electrónico: fede.riccio00@gmail.com
Acta Gastroenterol Latinoam 2024;54(1):92-97