Guillermo Pablo Alarcón1 ID· Juan Lamot2 ID· Analia Dieguez1 ID· César Palas2 ID· Julián LLambi2 ID· Ailen Farias1 ID
1 Sector de Gastroenterología Infantil-Endoscopía y Servicio de Cirugía Infantil,
Hospital Regional Castro Rendón. Neuquén.
2 Ministerio de Salud de la Provincia del
Neuquén.
Neuquén. Argentina.
Acta Gastroenterol Latinoam 2024;54(1):79-83
Recibido: 11/01/2024 / Aceptado:
17/03/2024 / Publicado online el : 25/03/2024
/
https://doi.org.10.52787/agl.v54i1.386
Introducción. La endoscopía digestiva es una herramienta fundamental en la práctica de la gastroenterología pediátrica; es crucial en el diagnóstico y tratamiento de diversas patologías como la ingestión de cuerpos extraños. La incidencia de estos eventos es relevante en la población infantil, con riesgos potenciales para la salud. Objetivo. El objetivo de este estudio es describir los motivos de realización de endoscopias de urgencia o emergencia, en una guardia de pediatría, en el hospital general de mayor complejidad de la Patagonia Argentina. Materiales y métodos. Estudio descriptivo, transversal, retrospectivo y observacional realizado en el Hospital Regional Castro Rendón, Neuquén. Se recopilaron datos demográficos, presentación clínica, momento del procedimiento, características endoscópicas, causas y evolución médica de pacientes menores de 15 años que ingresaron por urgencias pediátricas. Se utilizaron criterios de clasificación para evaluar la gravedad de las lesiones. Resultados. Se analizaron 105 casos, predominantemente en niñas, con una edad promedio de 4.5 años. La mayoría de los casos involucraron ingestión de cuerpos extraños, seguidos por lesiones debidas a ingesta de productos cáusticos y hemorragias digestivas. Las endoscopias se realizaron principalmente los viernes. Las monedas fueron el cuerpo extraño más frecuente, mientras que las lesiones por productos cáusticos fueron principalmente alcalinas. Todos los pacientes evolucionaron favorablemente, sin complicaciones derivadas del procedimiento. Conclusión. La ingestión de cuerpos extraños fue el resultado más común de las endoscopías en la guardia pediátrica. Las hemorragias digestivas fueron menos frecuentes. Todos los casos presentaron una evolución favorable. Se destaca la necesidad de programas de prevención y educación para reducir la incidencia de estos eventos en la población infantil.
Palabras claves. Cuerpo extraño, pediatría, urgencia, emergencia, endoscopía digestiva alta.
Introduction. Digestive endoscopy is a fundamental tool in the practice of pediatric gastroenterology, being crucial in the diagnosis and treatment of various pathologies such as foreign body ingestion. The incidence of these events is relevant in the pediatric population, with potential health risks. Aim. The study aims to describe the reasons for performing urgent/emergency endoscopies in a pediatric ward at the most complex General Hospital in Patagonia, Argentina. Material and Methods. Descriptive, cross-sectional, retrospective, and observational study in the most important General Hospital of the Argentine Patagonia. Demographic data, clinical presentation, time of the procedure, endoscopic characteristics, causes and medical evolution of patients under 15 years of age admitted for pediatric emergencies were collected. Classification criteria were used to evaluate the severity of the lesions. Results. A total of 105 cases were analyzed, predominantly in girls with a mean age of 4.5 years. Most cases involved foreign body ingestion, followed by caustic injuries and gastrointestinal bleeding. Endoscopies were mainly performed on Fridays. Coins were the most frequent foreign body, while caustic injuries were mainly alkaline. All patients progressed favorably, with no complications arising from the procedure. Conclusion. Foreign body ingestion was the most common reason in the pediatric ward. Gastrointestinal bleeding was less frequent. All cases presented a favorable evolution. The need for prevention and education programs to reduce the incidence of these events in the pediatric population is emphasized.
Keywords. Foreign body, pediatrics, urgency, emergency, upper gastrointestinal endoscopy.
Abreviaturas
CE: Cuerpo extraño.
HD: Hemorragia digestiva.
La endoscopía digestiva se introdujo en pediatría en 1971 y, en la actualidad, es un componente esencial de la práctica diaria de la gastroenterología pediátrica.1 Desempeña un papel fundamental en el diagnóstico y tratamiento de diversas patologías digestivas y en la resolución de urgencias endoscópicas, como la ingestión de cuerpos extraños (CE) o productos cáusticos y hemorragias digestivas (HD), a veces, esta última resulta en una situación de emergencia médica.2
La ingestión de CE en el tracto digestivo es un accidente común en el hogar durante la infancia. Informes del centro de control de intoxicaciones de los Estados Unidos, entre los años 2011 y 2014, indican que la mayor incidencia ocurre en niños de entre 1 y 5 años, con una media de 2,8 años, sin contabilizar los casos solucionados en el domicilio y no reportados.3-4 Por otro lado, la ingestión de sustancias cáusticas sigue siendo un problema médico y social grave debido a la morbimortalidad a corto y largo plazo. El grupo de mayor riesgo es similar al de la ingestión de CE, y está relacionado con la autonomía que adquieren los niños al deambular, a su curiosidad, y al desconocimiento de situaciones y objetos peligrosos. Además, esto puede ocurrir debido a la ingestión voluntaria por intento autolesivo, en adolescentes.5
La HD es poco frecuente en pediatría. En el 80% de los casos no tiene consecuencias significativas y se resuelve por sí sola, mientras que, en otros casos constituye una urgencia o una emergencia que pone en riesgo la vida del niño. Por ello, es crucial el papel del pediatra y del gastroenterólogo para evaluar la magnitud del sangrado, sus consecuencias hemodinámicas, identificar su origen y etiología, y establecer un tratamiento efectivo, que puede ser médico, endoscópico o quirúrgico.6
El objetivo de este estudio es describir los motivos de realización de endoscopias de urgencia/emergencia, en una guardia de pediatría en el hospital general de mayor complejidad de la Patagonia Argentina.
Se llevó a cabo un estudio descriptivo, transversal, retrospectivo y observacional. Los datos se obtuvieron de la base informática del, Hospital Regional Castro Rendón, Neuquén, donde se registraron todos los procedimientos endoscópicos y las historias clínicas correspondientes a cada paciente durante el período de estudio. Se recopilaron los datos demográficos de cada paciente, su presentación clínica, el momento del procedimiento, las características de la endoscopia, la causa del procedimiento y la evolución médica. Para la evaluación de la gravedad de las lesiones por cáusticos, se utilizó la clasificación de Zargar (0,1, 2a, 2b, 3a, 3b y 4) y para la gravedad de la HD, se utilizó la clasificación de Forrest (1a, 1b, 2a, 2b, 2c y 3). Se incluyeron pacientes menores de 15 años que ingresaron por la guardia de pediatría del Hospital Regional Castro Rendón y se excluyeron aquellos a los que se les realizó una endoscopía en forma programada.
Las endoscopias se realizaron utilizando torres de endoscopia EVIS EXERA II HDTV-NBI®, endoscopios GIF-H180® y GIF-XP150 N®.
Los datos se recopilaron con el software Excel y se llevaron a cabo análisis estadísticos utilizando Infostat versión 2018. Se realizó un análisis univariado para obtener medidas de resumen y frecuencias, así como un análisis bivariado para evaluar la asociación entre la edad y el tipo de cuerpo extraño encontrado. El estudio se llevó a cabo de acuerdo con las Guías de Buenas Prácticas Clínicas y se respetaron los principios éticos de la Declaración de Helsinki. Todos los datos se anonimizaron antes del análisis.
Se registraron un total de 105 casos, de los cuales el 56% correspondieron a niñas y la edad de presentación osciló entre 7 meses y 14 años (media de 4,5 años). El 47% de los casos procedían de la ciudad capital, el 36% del interior provincial y el 17% de otras provincias, incluidas Buenos Aires, Córdoba, La Pampa y Río Negro. El 80% de los pacientes no contaba con cobertura médica.
En cuanto a la presentación clínica, el 83% de los procedimientos se realizaron debido a la ingestión de CE, mientras que el 17% restante se debió a lesiones por cáusticos, disfagia aguda y HD altas.
Los eventos ocurrieron con mayor frecuencia los viernes, con el 22% de los casos, mientras que el resto de los días de la semana oscilaron entre el 10% y el 16%.
Con respecto a la ingestión de CE, la localización predominante, con un 80,4%, fue en el esófago, (el 84,2% de estos fueron encontrados en el tercio superior) y el porcentaje restante, en el estómago. En cuanto al tipo de cuerpo extraño, las monedas representaron el 73,6% de los casos, seguidos por hebillas, 9,2%, y pilas 5,8 %, mientras que el resto fueron una variedad de pequeños objetos plásticos, metálicos u orgánicos (tricobezoares). No se encontraron diferencias estadísticamente significativas entre el sexo, el lugar de procedencia y el día de la semana, en relación con el tipo de evento o el tipo de cuerpo extraño encontrado. Sin embargo, se encontró una relación estadísticamente significativa entre la edad y el tipo de cuerpo extraño hallado en la endoscopía, con un predominio de eventos en el rango de 1 a 6 años, período en el que se observaron todos los casos de ingestión de pilas.(Tabla 1).
Tabla 1. Frecuencia de cuerpos extraños hallados en la endoscopía
según grupo edad
Las lesiones por cáusticos constituyeron un 10,4% de los eventos (11 casos), de las cuales en un 90,9% (10 casos) fue producida por sustancias alcalinas. En cuanto a la gravedad de las lesiones por esta causa, en un 90,9% (10 casos) fueron clasificadas como Zargar 0, y solo un caso presentó un Zargar 2A.
Las lesiones hemorrágicas constituyeron el 5% de los eventos (5 casos), y en todos los casos fueron altas (3 de localización esofágica y 2 gástricas). De acuerdo a su gravedad en un caso presentaron un Forrest 1A, y en otro un Forrest 1B, secundaria a Mallory-Weiss, variceal y Esofagitis de Los Ángeles D.
Todos los pacientes sometidos a endoscopía evolucionaron favorablemente, sin complicaciones derivadas del procedimiento. En los dos casos de tricobezoar, se realizó una laparotomía para extracción quirúrgica sin complicaciones registradas.
Los resultados obtenidos en nuestro estudio coinciden con los observados en otras
publicaciones,7-8 donde la ingesta de cuerpos extraños fue la causa más frecuente de urgencia
endoscópica en pediatría, y representaron el 83% de los casos en nuestra serie. Los síntomas descriptos
cuando el CE se encontraba en una ubicación más proximal fueron sialorrea, náuseas y sensación de ahogo. Por
el contrario, cuando el cuerpo extraño se hallaba en una ubicación más distal, los síntomas podían ser menos
evidentes, como dolor retroesternal, o con ausencia de síntomas. Todos los cuerpos extraños fueron extraídos
por vía endoscópica, excepto en los dos casos de bezoares, en los cuales se intentó inicialmente reducir su
tamaño mediante diferentes métodos, como cortándolos para su extracción con pinzas o canastillas (Foto
1).
Sin embargo, ante la falta de éxito, se decidió realizar su extracción por vía quirúrgica, con
éxito y sin complicaciones posteriores.
Foto 1. Tricobezoar hallado durante la endoscopía en una niña de 14 años a la cual se
le realizaron distintos procedimientos para minimizarlo, con resultados negativos. Se lo extrajo de manera
quirúrgica
En cuanto a la ingestión de cáusticos, en nuestro estudio se observaron 11 casos, 9 de los cuales fueron por sustancias alcalinas y 2 por ácidos, todos ellos accidentales y en niños menores de 8 años, sin evidenciarse intentos de autoagresión.
En relación con la HD alta, las lesiones clasificadas como Forrest 1 A y B se consideran una emergencia endoscópica debido al riesgo de shock hipovolémico y a la baja probabilidad de resolución espontánea. En nuestra serie encontramos 5 casos de HD y solo 2 presentaron mayor gravedad (Forrest 1a y 1b); todas tuvieron una evolución favorable con el tratamiento médico (Foto 2).
Foto 2. Úlcera prepilórica, Forrest 1a, con inyección de adrenalina en un niño de 4
años
El manual de Prevención de Accidentes de la Sociedad Argentina de Pediatría del 2005 menciona la ingestión de cáusticos y cuerpos extraños como una problemática de salud pública. Aunque solo el 10% de las pilas ingeridas generan síntomas, su ingestión entraña riesgo de perforación esofágica y se considera una urgencia vital debido a que en su composición se encuentra hidróxido de potasio o de sodio, sustancias que provocan una rápida necrosis de los tejidos. Aunque los juguetes de metal o plástico son menos comunes actualmente, su incidencia se ha reducido gracias a las normativas de seguridad en su fabricación.
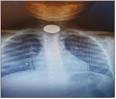
Por esta problemática, es crucial realizar radiografías tan pronto como se sospeche la ingestión de un cuerpo extraño para determinar su ubicación y, especialmente, para identificar la presencia de una pila, dado que estas suelen tener una ranura circunferencial característica (Foto 3). Las monedas siguen siendo el cuerpo extraño más comúnmente encontrado (Foto 4), lo cual no ha cambiado, a pesar de la disminución de su uso en transacciones comerciales, debido a la economía actual.
Foto 3. Pila botón en región cricofaríngea
Foto 4. Moneda en región cricofaríngea
Consideramos que, exceptuando las hemorragias digestivas, el resto de las urgencias endoscópicas son prevenibles, por lo que es crucial que esta temática esté presente en la formación tanto de pregrado como de posgrado de los pediatras y especialistas en emergencias. Además, es importante que los padres estén informados sobre esta problemática a través de las consultas de pediatría preventiva y los medios de comunicación.
En nuestra investigación, la ingestión de cuerpos extraños fue el motivo más común para la realización de endoscopias de urgencia en la guardia pediátrica, y las monedas son el objeto más frecuentemente observado. Las hemorragias digestivas fueron menos comunes y todos los casos presentaron una evolución favorable. Consideramos que, exceptuando las hemorragias digestivas, todos los motivos de endoscopias de urgencia podrían prevenirse mediante políticas efectivas de salud pública.
Consentimiento para la publicación. Para la confección de este manuscrito, se utilizaron datos anonimizados que no han distorsionado su significado científico.
Propiedad intelectual. Los autores declaran que los datos y las figuras presentes en el manuscrito son originales y se realizaron en sus instituciones pertenecientes.
Financiamiento. Los autores declaran que no hubo fuentes de financiación externas.
Conflicto de interés. Los autores declaran no tener conflictos de interés en relación con este artículo.
Aviso de derechos de autor

© 2024 Acta Gastroenterológica Latinoamericana. Este es un artículo de acceso abierto publicado bajo los términos de la Licencia Creative Commons Attribution (CC BY-NC-SA 4.0), la cual permite el uso, la distribución y la reproducción de forma no comercial, siempre que se cite al autor y la fuente original.
Cite este artículo como: Alarcón G P, Hilguemberg S, Lamot J y col. Hallazgos endoscópicos en los procedimientos realizados en una guardia de pediatría: Experiencia de un hospital de alta complejidad de la Patagonia Argentina. Acta Gastroenterol Latinoam. 2024;54(1):79-83. https://doi.org.10.52787/agl.v54i1.386
Correspondencia:
Guillermo Pablo Alarcón
Correo electrónico: galarconbianchi@gmail.com
Acta Gastroenterol Latinoam 2024;54(1):79-83