Tumores engañosos en una mujer de mediana edad

Lina Meza Galeano ID· Carolina Lazcano Soliz ID· Lina Robledo ID· Germán Espil ID · Shigeru Kozima ID· Nebil Larrañaga ID

Hospital General de agudos doctor Cosme Argerich.
Ciudad Autónoma de Buenos Aires, Argentina.

Acta Gastroenterol Latinoam 2024;54(1):40-41


Recibido:
19/01/2024 / Aceptado: 12/03/2024 / Publicado online el 25/03/2024 / https://doi.org/10.52787/agl.v54i1.388

Presentación del caso

Una mujer de 50 años consulta por dolor en epigastrio e hipocondrio derecho, náuseas y vómitos de ocho meses de evolución, aproximadamente. En los resultados de laboratorio se resaltan la fosfatasa alcalina de 116 U/L y el siguiente perfil viral: anti-VHA IgG de 9.89 S/Co, antirubeola IgG 64.4 UI/ml, anti-CMV IgG > 250 AU/ml, anti -Epstein Barr IgG 65,67 S/Co. El resto de los resultados fue normal y las serologías fueron negativas.

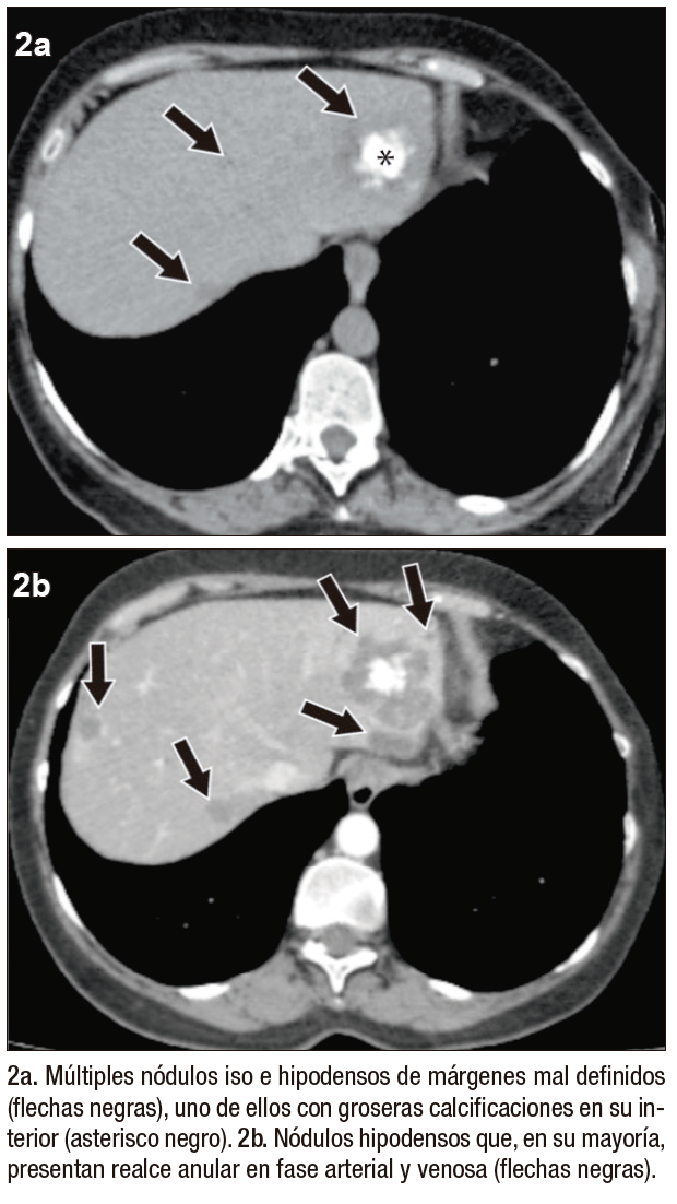
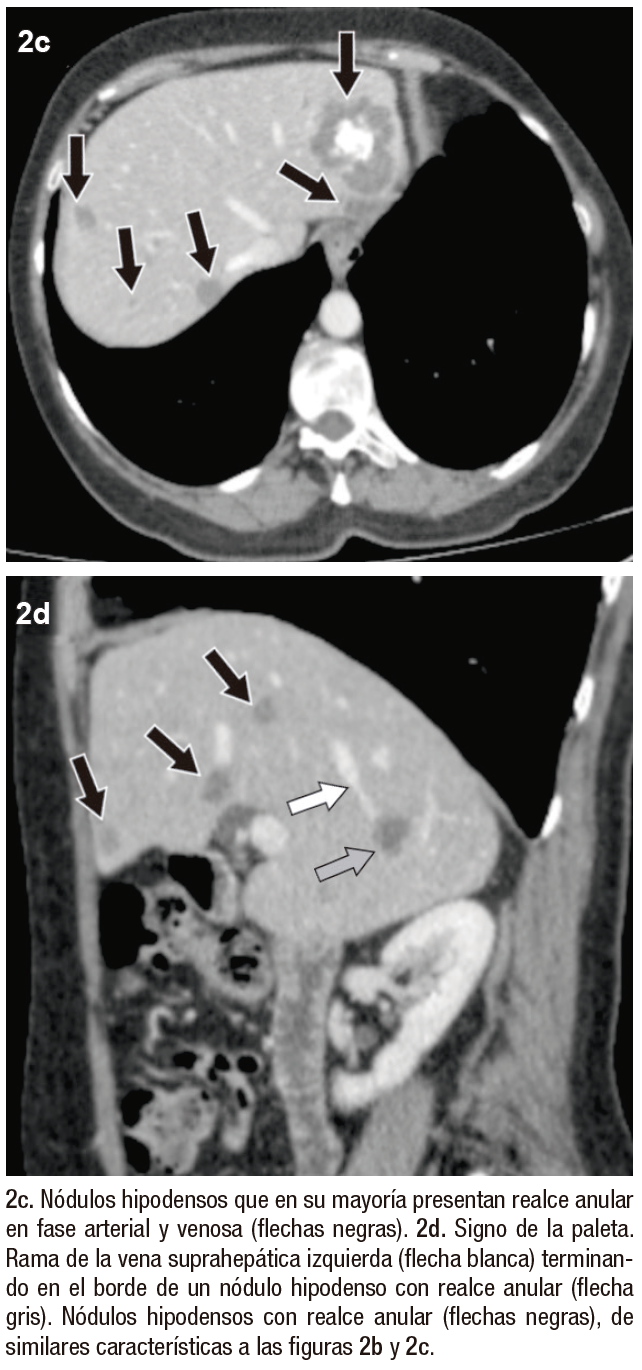
Posteriormente, se realiza una ecografía abdominal en la que se muestran innumerables nódulos hipoecogénicos, de márgenes parcialmente circunscritos, con calcificaciones en su interior, algunos causantes de retracción capsular, sin evidencia de flujo vascular con Doppler color (Figura 1). Tras estos hallazgos, se continúa la valoración mediante TCMD (Tomografía Computada Multi detector) con contraste endovenoso, donde se observan, en consonancia con la ecografía, numerosos nódulos isodensos e hipodensos, con realce en anillo en fases arterial y venosa, distribuidos en ambos lóbulos hepáticos.
En el lóbulo izquierdo se destaca un nódulo dominante, acompañado de groseras calcificaciones internas, que mide 48x42x39 mm (Figura 2).

Figura 1. Ecografía hepática con transductor convexo, en modo B (a y b) y Doppler color (c)

Figura 1. Doppler color (c)

Figura 2. TCMD hepática en corte axial, sin contraste (2a) y con contraste endovenoso (2b-d). Fase arterial (b)

Figura 2. 2c y 2d) Fase venosa

 

¿Cuál es su diagnóstico?

Resolución del caso en la página 103

 

Correspondencia: Lina Meza Galeano
Correo electrónico:  linameza0109@gmail.com

Acta Gastroenterol Latinoam 2024;54(1):40-41