Marina Allende ID· Dante Manazzoni ID· Tomas Pérez ID· Juan Santino ID· Víctor Hugo Abecia ID· Mariano Marcolongo ID
Hospital Italiano de Buenos Aires.
Ciudad Autónoma de Buenos Aires, Argentina.
Acta Gastroenterol Latinoam 2023;53(2):193-196
Recibido: 05/01/2023 / Aceptado: 28/05/2023 / Publicado online el 30/06/2023 / https://doi.org/10.52787/agl.v53i2.248
Reportamos el caso de un paciente masculino de 56 años de edad que ingresa por un cuadro de melena. Se le realiza una videoendoscopía alta de urgencia en la que se observa una lesión polipoidea subpediculada de superficie congestiva, de aproximadamente 5 cm, ubicada en la tercera porción duodenal. Se realizó la resección endoscópica de la lesión en un segundo tiempo y su estudio histopatológico informó un adenoma de las glándulas de Brunner. Presentamos este caso por lo infrecuente de esta patología como causa de hemorragia digestiva.
Palabras claves. Adenoma duodenal, glándulas de Brunner, hemorragia digestiva alta.
We report the case of a 56-year-old male patient who was admitted for melena. Emergency upper gastrointestinal videoendoscopy revealed a subpediculated polypoid lesion with a congested surface, approximately 5 cm in size, located in the third duodenal portion. Endoscopic resection of the lesion was performed in a second stage and its histopathological study revealed an adenoma of Brunner's gland. We present this case due to the infrequent occurrence of this pathology as a cause of gastrointestinal bleeding.
Keywords. Duodenal adenoma, Brunner's gland, upper gastrointestinal bleeding.
Las glándulas de Brunner se localizan en la submucosa duodenal. Su densidad es mayor en el bulbo y disminuye hacia la ampolla de Vater. Secretan un fluido alcalino rico en mucina que protege el epitelio duodenal de la acidez del quimo.1
La hiperplasia de las glándulas de Brunner es una lesión benigna y presenta una incidencia del 0,008%. Fue descripta por primera vez en 1835 y su patogénesis es incierta.1, 2
Se localiza con mayor frecuencia en el bulbo duodenal y en el duodeno proximal. Su comportamiento es habitualmente benigno y en pocos casos se ha reportado displasia o neoplasia. Los cambios displásicos suelen estar asociados a una depresión central como uno de los hallazgos endoscópicos más característicos.2-3
Si bien la patogénesis para el desarrollo de la hiperplasia de las glándulas de Brunner es incierta, en la literatura se han descripto asociaciones con la hiperclorhidria, en pacientes que presentan gastritis crónica erosiva y úlceras duodenales.4-5
Su diagnóstico suele ser un hallazgo en una endoscopía digestiva alta solicitada por otros motivos, aunque ocasionalmente los pacientes pueden presentarse con dolor abdominal crónico, náuseas y vómitos. En la endoscopía suelen observarse como pólipos pediculados aislados con un tamaño promedio próximo a los 2 cm, que raramente superan los 5 cm de tamaño.3
Una de las presentaciones sintomáticas es el sangrado digestivo alto, seguido en frecuencia de la obstrucción intestinal. El sangrado gastrointestinal suele manifestarse como pérdidas crónicas de sangre asociadas a deficiencia de hierro y anemia ferropénica. De forma menos frecuente, cuando el adenoma se encuentra ulcerado, puede presentarse con melena o hematemesis, como en el caso de nuestro paciente.6-7
Paciente masculino de 56 años de edad, que consultó por melena de 48 horas de evolución. Ingresó hemodinámicamente estable con una hemoglobina de 9,2 g/dl (valores previos de 13,1 g/dl). Como antecedentes refirió dos episodios previos de hemorragia digestiva alta a los 54 años de edad, que fueron estudiados en otra institución sin encontrar la causa del sangrado. Se realizó una videoendoscopía digestiva alta que evidenció una lesión polipoidea subpediculada de superficie erosionada de aproximadamente 5 cm, ubicada en la tercera porción duodenal. (Figura 1 y 2).
Figura 1. Videoendoscopía digestiva alta. Lesión polipoidea subpediculada de
superficie congestiva de aproximadamente 5 cm ubicada en la tercera porción duodenal
Figura 2. VEDA. Lesión polipoidea subpediculada de aproximadamente 5 cm que emerge
hacia la tercera porción duodenal
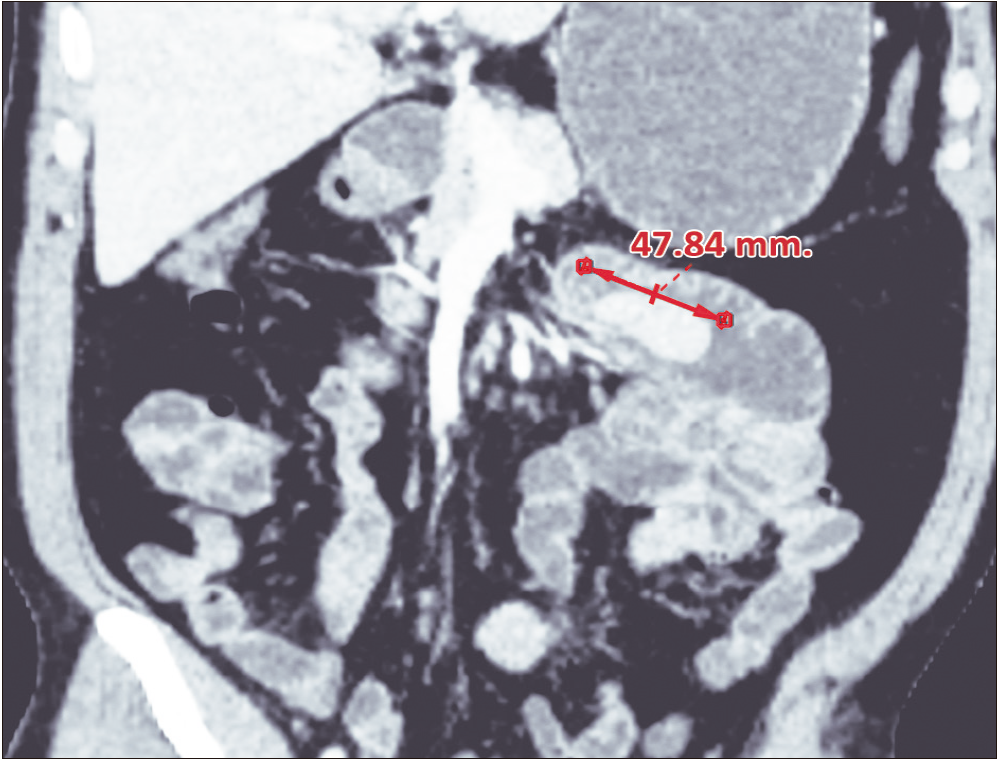
Se solicitó una enterotomografía que mostró una imagen protruida, con pedículo ancho de aspecto heterogéneo, de 47 mm aproximadamente, a nivel de la tercera y cuarta porción duodenal, con marcado realce tras la administración de contraste endovenoso. (Figura 3).
Figura 3. Enterotomografia computarizada con contraste. A nivel de la tercera y cuarta porción
duodenal una imagen polipoidea de aproximadamente 47 mm de longitud protruye en la luz intestinal
En diferido se realizó la resección endoscópica del pólipo a través de una enteroscopia por empuje (push), mediante la utilización de un asa caliente previa inyección del pedículo con adrenalina 1:20000. El informe de la anatomía patológica evidenció una proliferación de glándulas mucosas tapizadas por células columnares con disposición nodular y patrón de crecimiento expansivo a nivel de la mucosa y la submucosa, compatible con un adenoma de las glándulas de Brunner sin displasia histológica evidente (Figura 4).
Figura 4. HyE 40 X. A nivel de mucosa y submucosa se observa una proliferación de glándulas
mucosas tapizadas por células columnares con núcleos monomorfos, de disposición nodular y crecimiento
expansivo, compatible con Adenoma de las glándulas de Brunner
Luego de 12 meses de seguimiento el paciente no ha presentado nuevos episodios de sangrado.
Si bien son infrecuentes, en la literatura existen reportes similares de adenoma de glándulas de Brunner con presentación clínica sintomática como hemorragia digestiva u oclusión y, más infrecuentemente, malignización.2, 7
En la gran mayoría de los casos se presentan con sintomatología abdominal inespecífica. En el caso de nuestro paciente la presentación sintomática inicial fue un cuadro de hemorragia digestiva manifestado con melena como evidencia de sangrado. Es destacable que en muchos otros casos se llega al diagnóstico de esta entidad sin tener ningún tipo de sintomatología asociada, encontrándose como hallazgos imagenológicos o en estudios endoscópicos solicitados por otro motivo. Esta lesión debe diferenciarse de otras con similares características macroscópicas de lesión subepitelial (lipoma, leiomioma, páncreas aberrante, tumor de la estroma gastrointestinal) que implican conductas diagnósticas y terapéuticas diferentes.5
Es importante evaluar la presentación clínica, la morfología y el tamaño para decidir el control evolutivo o la selección del método de resección.
Por su importancia pronóstica es particularmente relevante descartar adenocarcinoma, que suele presentarse con depresión central.9 Algunos autores han propuesto realizar la vigilancia endoscópica en aquellos adenomas de glándulas de Brunner de pequeño tamaño y asintomáticos, debido a su escaso potencial de malignización. En los de gran tamaño, sintomáticos o que cambian su morfología a lo largo del seguimiento, se propone como tratamiento inicial la resección endoscópica. La limitación de esta última está dada por el sitio anatómico de localización, por lo que en casos excepcionales se propone tratamiento quirúrgico.9-10
El adenoma de glándulas de Brunner es un hallazgo sumamente infrecuente en la práctica de la gastroenterología y más aún su presentación como un cuadro de hemorragia digestiva alta, ya que la forma de presentación más frecuente es la asintomática. Resulta importante conocer esta entidad y su presentación clínica porque en la mayoría de los casos la resolución suele ser endoscópica.
El pronóstico es generalmente bueno y la importancia radica en establecer diagnósticos diferenciales con otras entidades gastroenterológicas.
Consentimiento para la publicación. Para la confección de este manuscrito, se utilizaron datos anonimizados que no han distorsionado su significado científico.
Propiedad intelectual. Los autores declaran que los datos y las figuras presentes en el manuscrito son originales y se realizaron en sus instituciones pertenecientes.
Financiamiento. Los autores declaran que no hubo fuentes de financiación externas.
Conflicto de interés. Los autores declaran no tener conflictos de interés en relación con este artículo.
Aviso de derechos de autor

© 2023 Acta Gastroenterológica Latinoamericana. Este es un artículo de acceso abierto publicado bajo los términos de la Licencia Creative Commons Attribution (CC BY-NC-SA 4.0), la cual permite el uso, la distribución y la reproducción de forma no comercial, siempre que se cite al autor y la fuente original.
Cite este artículo como: Allende M, Manazzoni D, Pérez T y col. Adenoma de las glándulas de Brunner: Causa infrecuente de hemorragia digestiva alta. Reporte de caso. Acta Gastroenterol Latinoam. 2023;53(2):193-196. https://doi.org/10.52787/agl.v53i2.248
Correspondencia:
Marina Allende
Correo electrónico: marina.allende@hospitalitaliano.org.ar
Acta Gastroenterol Latinoam 2023;53(2)193-196