Hugo Zandalazini1 ID· Carlos Ocampo2 ID· Jorge Facundo Alonso Quintas3 ID· Luciano Coiz3 ID Magalí Muthular4 ID· Pablo Merchan5 ID· Enrique Petracchi3 ID
1 Jefe de unidad del servicio de Cirugía - Profesor Adjunto de Cirugía de la UBA. Doctor
en Medicina.
2 Jefe de servicio de Cirugía - Profesor Adjunto de Cirugía de la UBA.
Doctor en Medicina.
3 Médico de planta del servicio de Cirugía.
4
Jefa de residentes de Cirugía.
5 Exjefe de residentes de Cirugía.
Hospital
Argerich, Ciudad Autónoma de Buenos Aires, Argentina.
Acta Gastroenterol Latinoam 2022;52(4):494-501
Recibido: 08/09/2022 / Aceptado: 04/12/2022 / Publicado
online el 21/12/2022 /
https://doi.org/10.52787/agl.v52i4.253
Introducción. En la actualidad existen controversias sobre la mejor estrategia para el alivio del dolor en la pancreatitis crónica refractaria a los analgésicos. Objetivo. El objetivo de este trabajo fue el de evaluar los resultados de la operación de Frey para el tratamiento quirúrgico del dolor. Material y métodos. Entre junio de 1995 y junio de 2019 se incluyeron los pacientes operados mediante la cirugía de Frey. Se evaluaron las características morfológicas del páncreas mediante tomografía y/o resonancia nuclear magnética, la función endócrina y exocrina previa a la cirugía, así como los resultados inmediatos (morbilidad y mortalidad operatoria) y alejados (alivio del dolor e insuficiencia pancreática). Se realizó un análisis retrospectivo de una base de datos prospectiva. Resultados. Se realizaron 59 operaciones de Frey (8 mujeres y 51 hombres). La edad promedio fue de 38,75 años (rango 32-57). Todos los pacientes tenían masa cefálica y un conducto de Wirsung mayor de 6 mm en las imágenes. Fueron todos operados dentro de los tres años de iniciado el tratamiento médico del dolor. Cinco recibieron opioides (por menos de seis meses) y ninguno fue tratado endoscópicamente. Cinco pacientes presentaron complicaciones (8,4%) y no hubo mortalidad. La efectividad del procedimiento fue del 90,5%. Cinco pacientes desarrollaron diabetes y ocho, esteatorrea. Conclusiones. La operación de Frey es una técnica quirúrgica segura y efectiva para el manejo del dolor en la pancreatitis crónica. Los buenos resultados observados pueden estar influenciados por la brevedad del tratamiento médico previo y la ausencia de procedimientos endoscópicos. Estos hallazgos deben ser confirmados por estudios posteriores.
Palabras claves. Pancreatitis crónica, operación de Frey, dolor pancreático, cirugía temprana.
Introduction. There are currently controversies about the best strategy for pain relief in chronic pancreatitis refractory to analgesics. Aim. The objective of this work was to evaluate the results of Frey’s procedure in the surgical treatment of pain. Material and methods. Between June 1995 and June 2019, patients who underwent Frey's procedure were included. The morphological characteristics of the pancreas were evaluated by tomography and/or magnetic resonance imaging, the endocrine and exocrine function before surgery, as well as the immediate and distant results (operative morbidity and mortality; and pain relief and pancreatic insufficiency) results. A retrospective analysis of a prospective database was made. Results. 59 Frey procedures were performed (8 women and 51 men). The average age was 38.7 years (32-57). All patients had a head mass and a Wirsung duct greater than 6mm on imaging. They were all operated within three years of starting medical treatment for pain. 5 received opioids (for less than six months) and none were treated endoscopically. 5 patients presented complications (8.4%) and there was no mortality. The success rate of the procedure was 90.5%. Five patients developed diabetes and 8 steatorrhea. Conclusions. Frey's procedure is a safe and effective surgical technique for pain management in chronic pancreatitis. The success of the treatment may be influenced by a shorter previous medical treatment and the absence of endoscopic procedures. These findings need to be confirmed by further studies.
Keywords. Chronic pancreatitis, Frey's procedure, pancreatic pain, early surgery.
Abreviaturas
PC: Pancreatitis crónica.
DA: Dolor
abdominal.
DPC: Duodenopancreatectomía cefálica.
OF:
Operación de Frey.
DBT: Diabetes.
CCI: Índice integral de complicaciones (por sus siglas en inglés).
La pancreatitis crónica (PC) es una enfermedad inflamatoria que provoca daños irreversibles en la estructura de la glándula pancreática, con pérdida progresiva de la función endocrina y exocrina.
A pesar de ser una enfermedad benigna, presenta una alta morbilidad que impacta sobre la calidad de vida, acortando la expectativa de vida de los enfermos en entre 10 y 20 años.
Por tratarse de una enfermedad cuyo mecanismo etiopatogénico se desconoce, todas las medidas terapéuticas son de carácter paliativo. Las principales indicaciones quirúrgicas en los pacientes con pancreatitis crónica son el dolor abdominal (DA) que no responde al tratamiento médico, el tratamiento de las complicaciones locales y la imposibilidad de excluir el cáncer de páncreas.
El DA es el síntoma más frecuente e invalidante de esta enfermedad, así como la principal indicación de cirugía. En la actualidad, la estrategia terapéutica para tratar este síntoma es tema de controversia. Numerosos centros proponen un manejo multidisciplinario basado en pasos sucesivos, que se inicia con un tratamiento conservador con analgésicos de potencia creciente. Ante la persistencia del dolor, se propone recurrir al tratamiento endoscópico y, como última opción, al tratamiento quirúrgico.1
Por el contrario, estudios recientes observaron una superioridad de la cirugía en comparación con la endoscopía para controlar el dolor a largo plazo, y sugieren incluso un mejor resultado cuando la indicación quirúrgica se realiza en forma temprana.2 Diferentes procedimientos quirúrgicos han sido evaluados para determinar cuál es el indicado para el tratamiento del DA en la pancreatitis crónica. Desde procedimientos de drenajes ductal hasta la resección extensa que propone la duodenopancreatectomía cefálica (DPC), pasando por opciones intermedias.
El objetivo de este trabajo fue el de evaluar los resultados tanto inmediatos como alejados de la operación de Frey (OF), una cirugía que combina resección del parénquima y drenaje del conducto pancreático con conservación del duodeno.
En el período comprendido entre junio de 1995 y junio de 2019 se incluyeron en el estudio a todos los pacientes con diagnóstico de pancreatitis crónica y DA intratable que fueron intervenidos quirúrgicamente mediante la OF. Se realizó un análisis retrospectivo de una base de datos prospectiva.
Se indicó la OF en los pacientes con masa a nivel de la cabeza del páncreas y dilatación del conducto de Wirsung mayor de 6 mm, con DA intratable con analgésicos no opioides (Figura 2).
Los pacientes que presentaban otras complicaciones relacionadas con la PC, como colestasis y obstrucción duodenal, así como también la sospecha de cáncer de páncreas, fueron tratados mediante una DPC.
Evaluación preoperatoria
El estudio preoperatorio incluyó alguna de las siguientes modalidades diagnósticas: tomografía computada dinámica en tiempo arterial y venoso, y/o resonancia nuclear magnética con colangiopancreatorresonancia.
Se consignó en todos los casos el diámetro del conducto pancreático principal, los tratamientos previos con analgésicos (tipo y tiempo de uso) y los procedimientos endoscópicos, la presencia de insuficiencia endocrina (diabetes [DBT]) y exocrina y el período de tiempo desde el inicio del dolor hasta la realización de la cirugía.
La evaluación preoperatoria incluyó en todos los pacientes la identificación del riesgo quirúrgico preoperatorio y fueron clasificados de acuerdo con la Sociedad Americana de Anestesiología (ASA, por sus siglas en inglés).
Técnica quirúrgica
La OF es una técnica quirúrgica que combina la resección local del parénquima pancreático de la cabeza conservando el duodeno, con el drenaje del conducto pancreático principal a lo largo del cuerpo y la cola.3
La resección de la cabeza se realiza en forma parcial, conservando un margen de tejido pancreático de aproximadamente 1 cm sobre el marco duodenal y la vena porta. A la cavidad resultante en la cabeza se la comunica con el conducto pancreático principal del cuerpo y cola, previamente destechado, transformándolo en una estructura única. El procedimiento finaliza con la anastomosis de la cavidad labrada a lo largo de todo el páncreas y el yeyuno (Figuras 1 y 3).
Figura 1. A: Esquema que muestra la creación de una cavidad única luego del
destechamiento del conducto pancreático principal y la resección de tejido pancreático a nivel de la cabeza
(cavidad ojival). B: Corte transversal a nivel de la cabeza del páncreas (línea roja)
que muestra el límite posterior de la resección. C: Corte longitudinal que muestra la
continuidad con el Wirsung destechado a lo largo del cuerpo y cola (línea roja), pasando por delante de los
vasos mesentéricos sin seccionar el cuello del páncreas (flecha negra)
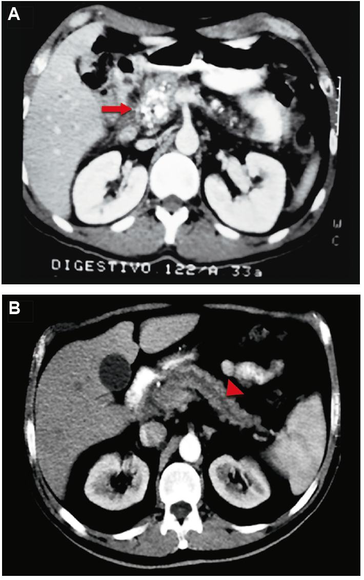
Figura 2. Tomografía computada que demuestra las alteraciones morfológicas
características para la indicación de este procedimiento. A: Cabeza de páncreas
aumentada de tamaño con cálculos intraductales e impactados en los canalículos periféricos y en el
parénquima. B: dilatación del conducto pancreático principal (Wirsung) del cuerpo y
cola.
Figura 3. Imagen intraoperatoria de la cavidad única terminada, con la resección
ojival en saca bocado a nivel de la cabeza en continuidad con el conducto de Wirsung destechado del cuerpo y
cola.
Evaluación intraoperatoria
El estudio preoperatorio incluyó en todos los casos la realización de una ecografía intraoperatoria con transductor lineal de 7,5 Mhz, para evaluar el sistema ductal y guiar la punción para realizar la wirsungrafía y la extracción posterior de los cálculos intraparenquimatosos, en especial los localizados dentro del parénquima de la cabeza pancreática.
Se consignó el tiempo operatorio y la necesidad de transfusión.
Evaluación post operatoria
Los enfermos luego de la cirugía fueron evaluados en el post operatorio inmediato y luego del alta sanatorial en forma periódica.
Resultados inmediatos
Para estratificar las complicaciones y la mortalidad post operatoria dentro de los 30 días luego de la cirugía, se utilizó la Clasificación de Dindo-Clavien4 y el Índice Integral de Complicaciones (CCI, por sus siglas en inglés).5
Se definió mortalidad operatoria a la que se produjo en los primeros 30 días después de la cirugía o durante la estancia en el hospital.
Se consignaron los días de internación.
Resultados alejados
Después del alta quirúrgica, los pacientes fueron evaluados cada 6 meses mediante un examen clínico, ecográfico y de laboratorio.
Se incluyeron los pacientes que tuvieron un seguimiento de al menos dos años.
La evaluación del DA consistió en determinar mediante un interrogatorio la intensidad del dolor en el preoperatorio y su desaparición/ausencia o la reaparición luego de la intervención quirúrgica. Para ello, se incluyó una escala numérica de evaluación del dolor con rango de 0 a 10, donde el 0 es ausencia de dolor, del 1 al 3 dolor leve, del 4 al 6 moderado y del 7 al 10 severo.
Se evaluó el desarrollo o empeoramiento de la DBT, definida como la necesidad de aumentar la dosis de hipoglucemiantes orales o de insulina para mantener la glucemia dentro de parámetros normales. Se evaluó también el desarrollo de esteatorrea. Se consideró esteatorrea a los pacientes con test de elastasa fecal con valores inferiores a 200 microgramos/gr y/o a la presencia de deposiciones malolientes, pastosas, brillantes, de color masilla, difícil de eliminar del inodoro.
Análisis estadístico
Para el análisis estadístico se utilizó el software SPSS.
Las variables cuantitativas se analizaron con el test T de Student. Las variables cualitativas se analizaron con el Chi Cuadrado, con corrección de Yates cuando el número fue inferior a 30.
En el período comprendido entre junio de 1995 y junio de 2019 se realizaron 59 operaciones de Frey, que representan el 50% de las 118 cirugías realizadas para el tratamiento de la pancreatitis crónica en ese mismo período de tiempo por el mismo equipo quirúrgico. En la Tabla 1 se detallan los datos epidemiológicos.
Tabla 1. Datos epidemiológicos de los 59 pacientes operados
<
La OF fue realizada en 8 mujeres y en 51 hombres. La edad promedio fue de 38,75 años, con extremos de 32 y 57 años. En 54 pacientes la etiología fue alcohólica y en los 5 restantes fue idiopática. De los 59 pacientes, 4 eran diabéticos y 8 tenían esteatorrea.
Treinta y ocho pacientes tuvieron el conducto del Wirsung con un diámetro entre 6 y 9 mm y los restantes 21 un conducto mayor de 9 mm.
La totalidad de los enfermos recibió tratamiento inicial con analgésicos no opioides. 10 pacientes lo recibieron durante un período menor de 6 meses y los 49 restantes durante más de 6 meses. Cinco pacientes requirieron opioides por un lapso menor a 6 meses, por falta de respuesta al tratamiento con analgésicos comunes. Ningún paciente de la serie recibió tratamiento endoscópico. La totalidad de los enfermos fue operada dentro de los tres años (36 meses) desde el inicio del dolor, siendo el promedio de la serie de 22,5 meses, con extremos de 14 y 35 meses (Tabla 2).
Tabla 2. Parámetros preoperatorios de los 59 pacientes
El tiempo operatorio promedio de todo el grupo fue de 175 min, con extremos de 160 y 190 min. Ningún enfermo requirió transfusiones.
Complicaciones post operatorias
De los 59 enfermos operados, 5 pacientes presentaron complicaciones (8,4%) y uno de ellos desarrolló dos complicaciones. La totalidad de las complicaciones correspondieron a los grados I y II de la clasificación de Dindo-Clavien. El CCI promedio de las complicaciones fue de 11,48 (Tabla 3 y Tabla 4).
Tabla 3. Parámetros intraoperatorios y de la internación de los 59 pacientes de la
serie
Tabla 4. Complicaciones post operatorias en 5 pacientes
El promedio de días de internación fue de 5,8 días, con un promedio de 1,1 días de internación en unidad de terapia intensiva.
No hubo muertos en el post operatorio.
Seguimiento post operatorio
El tiempo promedio de seguimiento para el total de enfermos fue de 6,5 años (rango 1,6 - 15 años). Seis enfermos no cumplieron con el mínimo de dos años de seguimiento, por lo que se los excluyó para el análisis de la efectividad de la operación. No hubo fallecidos entre los pacientes en seguimiento hasta la fecha.
De los 53 pacientes que completaron los dos años de seguimiento, 48 refirieron la desaparición del dolor (90,5%). Los cinco restantes, luego de un período asintomático, manifestaron la recidiva del dolor. El DA fue leve en tres de estos pacientes, moderado en uno y en el otro severo. Salvo este último enfermo que requirió de una pancreatectomía total para aliviar el dolor, los restantes cuatro fueron tratados con analgésicos comunes.
Durante el seguimiento, tres enfermos empeoraron la DBT y cinco la desarrollaron. Ocho pacientes presentaron esteatorrea (Tabla 5).
Tabla 5. Seguimiento alejado en 53 pacientes
El DA que no responde al tratamiento médico es la indicación más frecuente de tratamiento quirúrgico en la pancreatitis crónica (6,7). La OF es un procedimiento eficaz para tratar el DA refractario al tratamiento conservador. En nuestra serie, fueron operados 59 pacientes con DA por PC utilizando la OF. Todos fueron operados en forma temprana, antes de los tres años de iniciado el DA. En ningún caso se utilizó el tratamiento endoscópico. La morbilidad fue del 10,1%, con una mortalidad de 0. Las complicaciones fueron todas categorizadas como I y II de la clasificación de Dindo-Clavien. De los 53 pacientes que completaron los dos años de seguimiento, 48 refirieron desaparición del dolor. Durante el seguimiento, tres enfermos empeoraron la DBT y nueve la desarrollaron. En cuanto a la esteatorrea, doce pacientes la desarrollaron.
En la actualidad, continúan siendo desconocidos tanto la historia natural de la PC como el mecanismo de producción del DA.6-8 Esta falta de certezas trajo aparejada una falta de acuerdo para determinar cuál es la mejor estrategia terapéutica de la enfermedad, la conveniencia del uso de analgésicos, la cirugía más efectiva y el momento de su realización, entre otras controversias.
Basados en la teoría del agotamiento, en el cual la glándula pancreática sufre a mediano plazo, con cada uno de los repetidos procesos inflamatorios, una destrucción progresiva hasta llegar a la atrofia, y con ella la desaparición del dolor,8 se aconsejaba tratar el dolor con analgésicos y evitar una conducta agresiva. Sin embargo, entre el 60% y el 70 % de los enfermos continúa experimentando dolor severo más allá de los cinco años de iniciado el síntoma, a pesar de los tratamientos conservadores, y requerirá indefectiblemente algún tratamiento invasivo para intentar un alivio.
La endoscopía y la cirugía son las opciones disponibles en la actualidad para el tratamiento del dolor refractario al tratamiento conservador.
La endoscopía, por ser un procedimiento de baja morbilidad, es en muchos centros la primera indicación luego del fracaso del tratamiento conservador. El tratamiento del DA en la PC exige la realización de numerosas sesiones endoscópicas para solucionar las condiciones involucradas en la génesis del dolor, tales como dilatar estenosis ductales, colocar y recambiar stents y romper cálculos con ondas de choque.9, 10, 11 La suma de estos procedimientos provoca un aumento del riesgo de complicaciones, que puede ser incluso mayor al de una cirugía y, lo que es peor aún, puede inducir la fatiga del paciente, con posibilidades de abandono del tratamiento. Se realizó una revisión sistemática para analizar la efectividad en forma comparativa entre la endoscopía y la cirugía para el tratamiento del dolor, utilizando una base de datos Cochrane, en el año 2015.12 Se demostró que la cirugía es superior a la endoscopía para calmar el dolor y, además, se sugiere que la cirugía realizada en etapa temprana promete mejores resultados en el control del dolor, preservando la función pancreática. A pesar de estos resultados, numerosos pacientes siguen siendo tratados endoscópicamente, en especial en centros europeos, en donde la puerta de entrada de los enfermos con PC sigue siendo la del gastroenterólogo.1
El mejor momento para indicar la cirugía para tratar el DA en la PC fue siempre tema de debate. La discusión se planteaba en torno de realizarla luego de la administración de analgésicos o luego de múltiples procedimientos endoscópicos.2
La excesiva demora en la indicación quirúrgica para el tratamiento del dolor expone al paciente a prolongadas terapias con analgésicos, que se inician con analgésicos comunes hasta llegar, en la gran mayoría de los casos, al uso de opioides para intentar controlar el dolor. Está demostrado que estos fármacos generan dependencia y promueven una alteración en la percepción del dolor a nivel del sistema nervioso central, provocando un estado de hipersensibilidad que hace muy complicado su alivio posterior con cualquier terapéutica.8
En la última década, se han publicado numerosos artículos que recomiendan realizar tempranamente la cirugía para el control del DA.13-15 Los resultados de estos trabajos concluyen que la cirugía temprana presenta mayores beneficios que cuando se la indica tardíamente o como última opción. Un trabajo prospectivo y aleatorizado comparó la cirugía temprana versus el tratamiento en etapas progresivas en donde la cirugía era la última opción. Los resultados preliminares de este estudio fueron publicados en el año 2020 en el Journal American Medical Association (JAMA) y concluyen que la cirugía temprana presenta un mayor alivio del dolor. A su vez, sugieren que el uso previo de opioides y la realización de múltiples procedimientos endoscópicos se asocian con menor alivio del dolor en comparación con la cirugía temprana.16
En nuestra serie, la totalidad de los enfermos recibió tratamiento inicial con analgésicos no opioides como puente para la realización de la cirugía, solo cinco de estos pacientes requirieron opioides por un lapso menor a 6 meses por falta de respuesta al tratamiento inicial con analgésicos comunes. Ningún paciente de la serie recibió tratamiento endoscópico. Los 59 pacientes fueron operados dentro de los tres años desde el inicio del DA. Tal vez la efectividad del procedimiento en los pacientes de nuestra serie esté vinculada con su indicación precoz, el bajo porcentaje de pacientes con consumo prolongado de opioides y la ausencia de procedimientos endoscópicos previos.
La etiopatogenia del DA en los pacientes con PC es incierta; sin embargo, se ha postulado un origen multifactorial y podría responder a un aumento de presión intracanalicular, intraparenquimatosa o a la lesión de las terminales nerviosas en el parénquima pancreático, producto de citoquinas y mediadores inflamatorios. La ausencia de una etiopatogenia única explica los diferentes tipos de procedimientos quirúrgicos ensayados en los pacientes con pancreatitis crónica. En pacientes con conducto pancreático dilatado, se ha sugerido que la operación indicada es aquella que descomprima el sistema ductal para disminuir la presión intracanalicular y, de esa forma, aliviar el dolor. En los pacientes con una masa inflamatoria en la cabeza del páncreas sin dilatación ductal, se presume que el mecanismo del dolor es por irritación o lesión de las terminales nerviosas; en este caso, la resección mediante una DPC es la cirugía recomendada.
Sin embargo, la gran mayoría de los enfermos presenta una combinación de dilatación ductal y masa inflamatoria a nivel de la cabeza del páncreas. En estos casos, el origen del DA podría obedecer a la combinación de hipertensión ductal y lesión perineural. El procedimiento recomendado es aquel que permita la descompresión del sistema ductal y la resección de tejido pancreático a nivel de la cabeza. La operación que reúne estas características es la OF.
Elegir la mejor técnica quirúrgica para el tratamiento del dolor de la PC es un verdadero desafío. Un requisito indispensable es que el procedimiento elegido sea seguro, dado que se trata de un procedimiento paliativo, ya que esta enfermedad no tiene cura.
Con el propósito de definir la mejor cirugía para el tratamiento del dolor se han ensayado y publicado numerosas experiencias comparativas entre las diferentes técnicas utilizadas.17, 18 Bachmann Kai y col.19 publicaron un estudio prospectivo aleatorizado que compara los resultados inmediatos y alejados de la DPC respecto de la OF. Los autores concluyeron que ambos procedimientos son efectivos en el control del dolor y que la OF presenta menor morbilidad posoperatoria, con ventajas a largo plazo, como la conservación del apetito, menor pérdida de peso y mejor estado físico con una mayor sobrevida.
Otra publicación compara la OF con la cirugía de Beger,20 procedimientos con características similares en los que se reseca tejido pancreático a nivel de la cabeza del páncreas y se preserva el duodeno. Los resultados observados luego de un seguimiento de 16 años no muestran diferencias en la morbilidad, el control del dolor, la calidad de vida, la función endócrina o exocrina y la mortalidad alejada. Sin embargo, la dificultad técnica de la cirugía de Beger es mayor, ya que en este procedimiento se secciona el páncreas a nivel de los vasos mesentéricos. Ello requiere acceder y labrar un túnel entre la cara posterior del cuello del páncreas y la vena porta, maniobra que suele ser difícil en estos pacientes por el proceso inflamatorio y la fibrosis existente. Además, esta cirugía requiere la realización de dos anastomosis.
En nuestra serie, la OF fue efectiva para aliviar el dolor en 48 de los 53 (90,5%) pacientes que completaron los dos años de seguimiento, con un bajo porcentaje de complicaciones (10,1 %), todas ellas leves, categorizadas como grados I y II de la clasificación de Dindo-Clavien. Al igual que en nuestra experiencia, se han publicado varios artículos que utilizan la OF para el control del dolor con similares resultados y sugieren que la indicación temprana de esta cirugía presenta mayores beneficios que cuando se la indica tardíamente.16, 21, 22
La OF es una técnica quirúrgica segura y efectiva para el manejo del dolor en la PC. La indicación temprana de la cirugía ha demostrado tener mayores beneficios para aliviar el dolor, ya que evita los tratamientos prolongados con opioides y los innumerables procedimientos endoscópicos.
En nuestra serie, esta cirugía no presentó mortalidad, con un reducido número de complicaciones posoperatorias.
A largo plazo, esta técnica demostró ser efectiva en el control del dolor y en la preservación de la función endócrina y exocrina del páncreas.
Consentimiento para la publicación. Para la confección de este manuscrito, se utilizaron datos anonimizados que no han distorsionado su significado científico.
Propiedad intelectual. Los autores declaran que los datos, los gráficos y las tablas presentes en el manuscrito son originales y se realizaron en sus instituciones pertenecientes.
Financiamiento. Los autores declaran que no hubo fuentes de financiación externas.
Conflicto de interés. Los autores declaran no tener conflictos de interés en relación con este artículo.
Aviso de derechos de autor

© 2022 Acta Gastroenterológica Latinoamericana. Este es un artículo de acceso abierto publicado bajo los términos de la Licencia Creative Commons Attribution (CC BY-NC-SA 4.0), la cual permite el uso, la distribución y la reproducción de forma no comercial, siempre que se cite al autor y la fuente original.
Cite este artículo como: Zandalazini H, Ocampo C, Alonso Quintas J F y col. La operación de Frey en el tratamiento quirúrgico de la pancreatitis crónica. Acta Gastroenterol Latinoam. 2022; 52(4):494-501. https://doi.org/10.52787/agl.v52i4.253
Correspondencia:
Hugo Zandalazini
Correo electrónico: hugohugoz@yahoo.es
Acta Gastroenterol Latinoam 2022;52(4):494-501