Tatiana Noemí Uehara ID· Harumi Hashimoto ID· Juan Manuel Montero ID Liria Martínez ID Fernanda Gutiérrez ID· Mauro Santana ID· Esteban González Ballerga ID· Adriana Tévez ID
Hospital de Clínicas José de San Martín.
Ciudad Autónoma de Buenos Aires,
Argentina.
Acta Gastroenterol Latinoam 2022;52(4):502-505
Recibido: 22/10/2022 / Aceptado: 11/12/2022 / Publicado online el 21/12/2022 / https://doi.org/ 0.52787/agl.v52i4.266
La disfagia lusoria es una patología poco frecuente que se caracteriza por disfagia secundaria causada por la compresión extrínseca del esófago por una arteria aberrante del arco aórtico. Es una anomalía embrionaria vascular que generalmente no causa síntomas, aunque puede generar disfagia debido al desarrollo de arterioesclerosis y disminución de la complacencia esofágica, aneurismas o trastornos motores. Se presenta un caso de un paciente con disfagia esofágica intermitente, compresión extrínseca esofágica por la arteria subclavia derecha aberrante y esófago hipercontráctil.
Palabras claves. Disfagia lusoria, esófago hipercontráctil, arteria subclavia derecha aberrante.
Dysphagia lusoria is a rare pathology characterized by dysphagia secondary to extrinsic compression of the esophagus by an aberrant artery of the aortic arch. This is a vascular embryologic abnormality that generally does not cause symptoms, although it can cause dysphagia due to the development of arteriosclerosis and decreased esophageal compliance, aneurysms, or motor disorders. Our report describes a case of a man with intermittent esophageal dysphagia, extrinsic esophageal compression by the aberrant right subclavian artery and hypercontractile esophagus.
Keywords. Dysphagia lusoria, hypercontractile esophagus, aberrant right subclavian artery.
Abreviaturas
DL: Disfagia lusoria.
VEDA: Videoendoscopía digestiva
alta.
Angio-TC: Angiografía por tomografía
computada.
HREM: Manometría esofágica de alta
resolución.
IBP: Inhibidores de la bomba de
protones.
POEM: Miotomía endoscópica peroral.
La disfagia lusoria es una causa poco frecuente de disfagia debido a la compresión esofágica por un vaso aberrante del arco aórtico. La arteria subclavia derecha aberrante es la anomalía congénita más común del arco aórtico. Sin embargo, la mayoría de los pacientes son asintomáticos. Generalmente esta patología se presenta en la quinta década de vida, aunque puede presentarse en la niñez.1 Los métodos diagnósticos incluyen videoendocopía digestiva alta, angiografía por tomografía computada (angio-TC) o angiografía por resonancia magnética. Se sugiere realizar un esofagograma baritado y una manometría esofágica de alta resolución para evaluar el impacto funcional de la compresión vascular esofágica y la coexistencia de un trastorno motor esofágico. La estrategia de manejo no es clara, pero parecería que los pacientes con síntomas leves a moderados se beneficiarían con cambios en el estilo de vida, modificaciones en la dieta y, posiblemente, con tratamiento médico. En aquellos pacientes con síntomas severos debe considerarse la cirugía.2 Se presenta el caso de un paciente con disfagia esofágica intermitente, compresión extrínseca esofágica por la arteria subclavia derecha aberrante y esófago hipercontráctil.
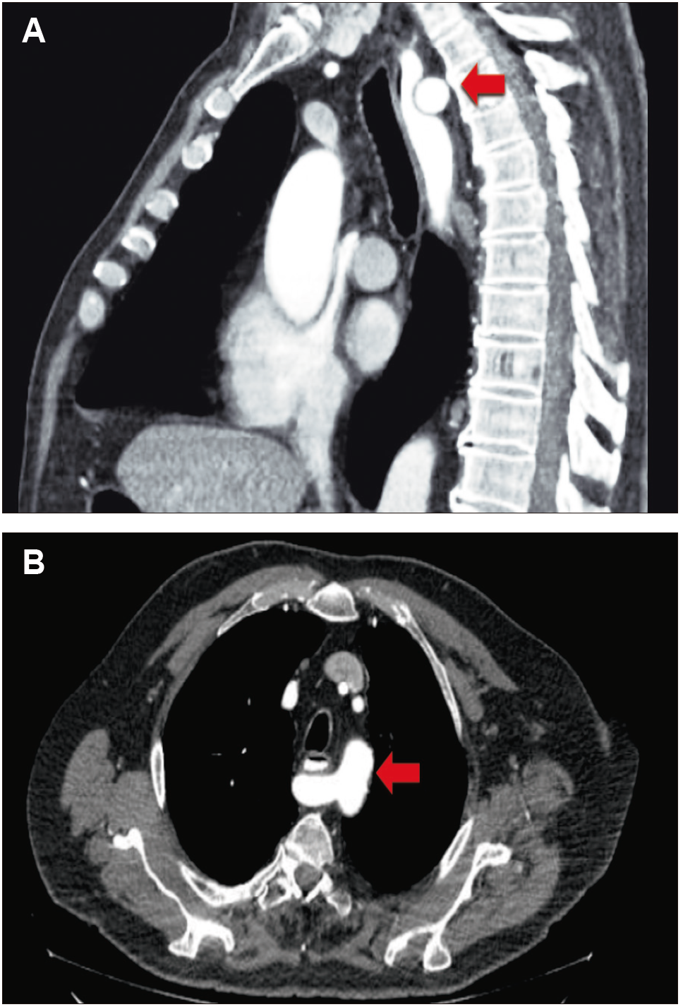
Varón de 79 años de edad, con antecedentes de diabetes tipo 2 e hipertensión arterial que fue derivado al sector de Neurogastroenterología con diagnóstico de disfagia lusoria. Refería disfagia esofágica intermitente a sólidos y líquidos de 4 meses de evolución asociada a dolor torácico irradiado al dorso y regurgitación, sin mejoría con IBP. El examen físico fue normal. Concurrió a la consulta con una VEDA donde se constató una dilatación de la luz esofágica y una pequeña hernia hiatal por deslizamiento, y con una angio-TC de tórax donde se informó una arteria subclavia derecha aberrante con compresión de la cara posterior del esófago y dilatación del mismo (Figura 1).
Figura 1. A. En el corte sagital de la angiografía por TC tórax se
observa una arteria subclavia derecha (flecha) que comprime e impronta la cara posterior del esófago. B.
En el corte axial de la Angio-TC se evidencia la arteria subclavia derecha aberrante (flecha) que
impronta y comprime la cara posterior del esófago
Dado que el paciente presentaba síntomas intermitentes con características de disfagia funcional se realizaron estudios dinámicos para correlacionar los hallazgos en las imágenes con la disfagia. El esofagograma baritado evidenció una impronta en el tercio proximal del esófago con adecuado vaciamiento del contraste (Figura 2). Luego se realizó una HREM (Laborie/Diversatek system) con 8 horas de ayuno mediante un catéter de estado sólido con 36 sensores y sin medicación que pudiera alterar la motilidad esofágica. Se realizaron 10 degluciones con 5 ml de solución fisiológica en posición semiacostada y 5 en sedestación. El cuerpo esofágico presentó un vigor contráctil aumentado, con 30% de contractilidad distal integrada > 8000 mmHg/s/cm, con una mediana de presión de relajación integrada de 21 mmHg (normal en Diversatek < 22 mmHg). Se diagnosticó un esófago hipercontráctil de pico simple (Figura 3). Como complemento, se realizó la prueba de deglución rápida múltiple (5 degluciones de 2 ml de agua con menos de 3 segundos de diferencia) que evidenció una adecuada inhibición deglutoria y una buena reserva peristáltica. El desafío rápido con los tragos líquidos (ingesta de 200 ml de agua en el menor tiempo posible) no pudo completarse por la presencia de dolor torácico. Para la evaluación del reflujo gastroesofágico se realizó una pH impedanciometría off IBP que no mostró exposición ácida patológica, episodios de reflujo patológicos ni asociación sintomática. Teniendo en cuenta la presentación intermitente de la disfagia con adecuado vaciamiento del contraste en el esofagograma baritado y la presencia de esófago hipercontráctil en la HREM, se interpretó que los síntomas estaban vinculados al trastorno motor. Se realizó tratamiento con inyección de toxina botulínica (100 U) en el cuerpo esofágico y disminuyeron los síntomas.
Figura 2. El esofagograma baritado muestra una compresión externa en
el tercio superior del esófago
Figura 3. En la manometría de alta resolución se constata un esófago
hipercontráctil de pico simple
La arteria subclavia derecha aberrante es una variante embrionaria del arco aórtico que tiene una prevalencia del 0,4 al 0,7% en la población general. Generalmente discurre en la cara posterior del esófago y puede generar disfagia en el 30-40% de los pacientes.3,4 Algunos autores plantean que la disfagia puede ocurrir debido al desarrollo de arterioesclerosis y disminución de la complacencia esofágica, aneurismas o trastornos motores.3 Anteriormente, la angiografía era la prueba de elección para confirmar el diagnóstico de las anomalías vasculares. Actualmente, la angio- TC o la angiografía por resonancia magnética han suplantado a la angiografía convencional, ya que ambas modalidades son capaces de aclarar la anatomía del arco aórtico y su relación con los órganos adyacentes. Además, son útiles para diagnosticar otras patologías intratorácicas que pudieran estar presentes.5
La manometría esofágica frecuentemente revela hallazgos no específicos. Algunos reportan una zona de alta presión en el sito de la impronta esofágica por el vaso aberrante, pulsátil y sincrónica con el pulso. Adicionalmente, presiones peristálticas elevadas en el esófago proximal por encima de la compresión.3,6,7
Se han descripto trastornos motores esofágicos asociados a la compresión vascular esofágica como la obstrucción del tracto de salida de la unión esofagogástrica y el esófago hipercontráctil. Se propone que la compresión esofágica puede generar un disbalance de neurotransmisores a nivel del plexo mientérico y generar una hipercontractilidad por mayor actividad colinérgica.5
Se sugiere que la compresión mecánica esofágica por una arteria aberrante puede no ser el mecanismo fisiopatológico predominante cuando se sospecha de una DL, ya que en la mayoría de los casos no genera una constricción esofágica significativa. Teniendo en consideración que la dismotilidad esofágica puede estar presente en la DL se sugiere realizar una HREM cuando se sospecha de esa patología.5 Debido a que nuestro paciente presentaba síntomas que sugerían disfagia funcional, complementamos el estudio diagnóstico con una HREM. El diagnóstico fue esófago hipercontráctil.
El tratamiento de la DL depende de la gravedad de los síntomas. A los pacientes con síntomas leves a moderados se les indican modificaciones del estilo de vida y modificaciones en la dieta, como masticación adecuada, evitar los alimentos que exacerban los síntomas, comer más lento, dar bocados más pequeños y/o beber líquidos a sorbos.3 El tratamiento con IBP y proquinéticos podría mejorar los síntomas. Un estudio de una serie de casos, evaluó dicho tratamiento farmacológico y evidenció mejoría en 3 de 6 pacientes con una media de seguimiento de 6,3 años.2 En nuestro caso, realizamos una pH impedanciometría que no evidenció exposición ácida patológica, episodios de reflujo patológico ni asociación sintomática, motivo por el cual desestimamos que la enfermedad por reflujo desempeñe un papel en la presencia de síntomas.
Ante la presencia de aneurismas, tronco bicarotideo, síntomas severos o falta de respuesta al tratamiento médico se recomienda tratamiento quirúrgico.5
El objetivo del tratamiento quirúrgico es remover el vaso aberrante y reconstruir el vaso en la posición adecuada.
La reconstrucción puede ser realizada a través de anastomosis del vaso nativo o interponiendo un injerto sintético en su lugar.5
En cuanto al tratamiento del esófago hipercontráctil que se diagnosticó en nuestro paciente, no hay consenso respecto al tratamiento.
En un metaanalisis de Whaba G y col.,6 se describe que el tratamiento médico (bloqueantes de canales de calcio, nitratos, inhibidores de la bomba de protones y antidepresivos) parecería ser inferior al endoscópico (dilatación, inyección de toxina botulínica y la miotomía endoscópica peroral). En un estudio multicéntrico de Philonenko S y col.,7 la inyección de toxina botulínica parecería obtener mejores resultados que la dilatación, aunque la tasa de recaída fue de más de 1 cada 3 pacientes en aquellos tratados con inyección de toxina botulínica y más de la mitad en los pacientes que recibieron dilatación.
Para pacientes con síntomas refractarios al tratamiento médico y que tienen dolor torácico y disfagia se aconseja la POEM, ya que se observaron buenos resultados. Sin embargo, aún faltan datos respecto a los resultados a largo plazo. El tratamiento quirúrgico (miotomía de Heller) se considera en casos refractarios al tratamiento médico, con sus riesgos y beneficios.8
En nuestro caso concluimos en que la compresión mecánica esofágica no fue el mecanismo fisiopatológico predominante porque en el esofagograma baritado se evidenció un adecuado pasaje del contraste; por lo tanto, realizamos el tratamiento de la patología coexistente -el esófago hipercontráctil- con buenos resultados.
Consentimiento para la publicación. Se obtuvo el consentimiento informado por escrito del paciente o sus padres, tutores o familiares, para la publicación de los datos o imágenes clínicas en beneficio de la ciencia. La copia del formulario de consentimiento se encuentra disponible para los editores de esta revista.
Propiedad intelectual. Los autores declaran que los datos y las figuras presentes en el manuscrito son originales y se realizaron en las instituciones a las que pertenecen.
Financiamiento. Los autores declaran que no hubo fuentes de financiación externas.
Conflicto de interés. Los autores declaran no tener conflictos de interés relacionados con este artículo.
Aviso de derechos de autor

© 2022 Acta Gastroenterológica Latinoamericana. Este es un artículo de acceso abierto publicado bajo los términos de la Licencia Creative Commons Attribution (CC BY-NC-SA 4.0), la cual permite el uso, la distribución y la reproducción de forma no comercial, siempre que se cite al autor y la fuente original.
Cite este artículo como: Uehara T N, Hashimoto H, Montero J M y col. Disfagia lusoria y esófago hipercontráctil. Reporte de un caso. Acta Gastroenterol Latinoam. 2022;52(4):502-505. https://doi.org/ 0.52787/agl.v52i4.266
Correspondencia:
Tatiana Noemí Uehara
Correo electrónico: tatianauehara@hotmail.com
Acta Gastroenterol Latinoam 2022;52(4)502-505