Alejandro García Hevia ID· César Maragno ID· José Brizuela ID· Pablo Fernández ID· Virginia Canga ID· Jorge Obeid ID
Servicio de Cirugía General Sanatorio Diagnóstico.
Santa Fe, Argentina.
Acta Gastroenterol Latinoam 2023;53(2):175-180
Recibido: 03/04/2023 / Aceptado: 11/06/2023 / Publicado online el 30/06/2023 / https://doi.org/10.52787/agl.v53i2.314
Introducción. La colecistitis enfisematosa es una forma de presentación infrecuente de la colecistitis aguda. Serie de casos. Presentamos cuatro pacientes entre 55 y 79 años (tres hombres y una mujer). Uno de ellos no tenía antecedentes patológicos, mientras que los otros eran diabéticos. A todos se les realizó una tomografía computada. Dos pacientes fueron sometidos a una colecistectomía videolaparoscópica y tuvieron una buena evolución. A los otros dos se les realizó una colecistostomía percutánea. Discusión. La colecistitis enfisematosa es la presencia de gas en la luz o en la pared de la vesícula biliar. La tasa de morbilidad es del 50%. Los pacientes suelen padecer diabetes, pero puede presentarse en pacientes más jóvenes sin factores de riesgo. La tomografía computada es el método de elección para el diagnóstico. El tratamiento definitivo es la colecistectomía videolaparoscópica, aunque la colecistostomía percutánea es otra opción válida.Conclusiones. La colecistectomía videolaparoscópica se considera un enfoque eficaz y seguro para el tratamiento de la colecistitis enfisematosa.
Palabras claves. Colecistitis enfisematosa, colecistectomía laparoscópica, colecistostomía percutánea, tomografía computada.
Introduction. Emphysematous cholecystitis is a rare form of acute cholecystitis. Case series. We present four patients aged 55 and 79 years old (three men and one woman). One of the patients had no pathological history, while the others were diabetic. All of them underwent a computed tomography scan. Two patients underwent videolaparoscopic cholecystectomy with good evolution, while the other two underwent percutaneous cholecystostomy. Discussion. Emphysematous cholecystitis is the presence of gas in the lumen or wall of the gallbladder. The morbidity rate is 50%. Patients usually suffer from diabetes, but it may occur in younger patients without risk factors. Computed tomography is the method of choice for diagnosis. The definitive treatment is videolaparoscopic cholecystectomy, although the percutaneous cholecystostomy is another valid option. Conclusions. Videolaparoscopic cholecystectomy is considered an effective and safe approach for the treatment of emphysematous cholecystitis.
Keywords. Emphysematous cholecystitis, videolaparoscopic cholecystectomy, percutaneous cholecystostomy, computed tomography.
Abreviaturas
CE: Colecistitis enfisematosa.
CP: Colecistostomía percutánea.
CL:
Colecistectomía videolaparoscópica.
La colecistitis enfisematosa (CE) es una forma de presentación infrecuente de la colecistitis aguda. Se la asocia con una alta tasa de mortalidad en comparación con la colecistitis aguda no complicada debido a su alta prevalencia de complicaciones (gangrena, perforación de la vesícula biliar, absceso pericolecístico, peritonitis biliar, entre otras) sumado a la complejidad de las condiciones que padecen los pacientes. Se diagnostica tras visualizar en las imágenes aire en la pared o en la luz de la vesícula biliar. Requiere manejo quirúrgico urgente y el pronóstico depende del tratamiento oportuno y adecuado.1-3
Presentamos cuatro casos recientes y documentados de CE en pacientes que ingresaron en nuestra institución. Asimismo presentamos las imágenes características de la enfermedad y su resolución.
Caso 1
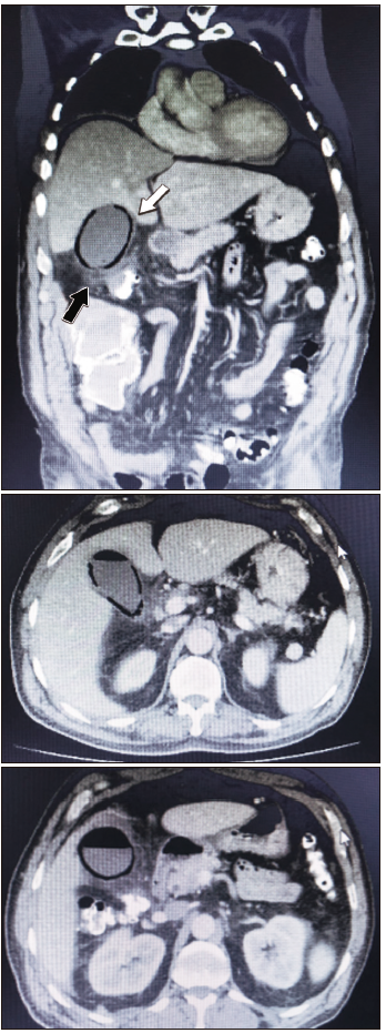
Hombre de 55 años, sin antecedentes de clínicos de relevancia, que ingresó con dolor abdominal con tres días de evolución localizado en hipocondrio derecho. Al momento del ingreso el paciente se presentaba estable, con dolor en la palpación en la parte superior del abdomen y sin irritación peritoneal. En el hemograma se detectó leucocitosis con neutrofilia; los análisis no mostraron otras alteraciones. Presentó una radiografía simple de abdomen dentro de parámetros normales. Se realizó una ecografía abdominal que mostró vesícula distendida, de paredes regulares y de 3,8mm; en bacinete presentó cálculo de 13mm, barro biliar y microlitiasis. Dentro de la vesícula se observó una banda de gas compatible con CE; vía biliar no dilatada. (Figura 1) Se complementó con una TC de abdomen y se confirmó el diagnóstico de CE sin neumoperitoneo. (Figura 2)
Figura 1. Ecografía abdominal. Banda hiperecogénica (flecha blanca) atribuible a gas
en el interior de la vesícula biliar
Figura 2. TC de abdomen con contraste endovenoso. Presencia de burbujas aéreas en la
pared vesicular (flecha blanca) asociada a densificación de los planos grasos adyacentes (flecha
negra)
Se inició el tratamiento con antibióticos (ciprofloxacina y metronidazol). Posteriormente, se practicó una colecistectomía videolaparoscópica (CL) en la cual se evidenció necrosis en la pared vesicular. La cirugía fue difícil. Se realizó una punción en la vesícula más una toma de cultivo (Clostridium perfringens). Se pudieron identificar los elementos del triángulo de Calot, ligándose el conducto cístico y la arteria cística. La evolución posterior fue favorable y el paciente fue dado de alta a los 3 días de la cirugía.
Caso 2
Mujer de 79 años, con antecedente de hipertensión arterial y diabetes de larga data, derivada desde el norte de la provincia por cuadro de dolor en hemiabdomen derecho con 9 días de evolución, ictericia y fiebre. En el examen físico la paciente se encontraba en mal estado general, con taquicardia e hipotensión con respuesta parcial a la fluidoterapia, presentaba dolor en la palpación (principalmente en el hipocondrio derecho) y puño percusión renal derecha positiva, sin irritación peritoneal. Los análisis mostraron leucocitosis con neutrofilia más falla renal con una acidosis mixta. La paciente ingresó en la unidad de terapia intensiva (UTI).
Como primer estudio se realizó una radiografía directa de abdomen. (Figura 3) Se solicitó una ecografía abdominal y una TC de abdomen de urgencia donde se informó la presencia de aire en la pared e interior de la vesícula.
Figura 3. Radiografía directa de abdomen. Se observa imagen radiolúcida (flecha
blanca) en el hipocondrio derecho en topografía de la vesícula biliar relacionada, posiblemente, con
enfisema parietal de dicho órgano, asociado a nivel hidroaéreo. Podría tratarse de un cuadro de CE
Se inició tratamiento antibiótico intravenoso. La paciente presentó edema pulmonar y falla respiratoria hipoxémica por lo que requirió soporte respiratorio y hemodinámico. Debido al mal estado de la paciente se le realizó una colecistostomía percutánea en la UTI. Tras la intervención mejoraron los parámetros en los análisis. En el cultivo que se obtuvo durante la colecistostomía se observó el desarrollo de Clostridium perfringens sensible a los antibióticos utilizados. Finalmente, y después de 5 días de internación, la paciente falleció por falla multiorgánica debido a las muchas comorbilidades que padecía; el fallecimiento no tuvo relación con la colecistostomía.
Caso 3
Hombre de 64 años, con antecedentes de diabetes mellitus y ex etilista, consultó por dolor abdominal de 3 días de evolución localizado en hipocondrio derecho irradiado al dorso. Durante el examen físico la temperatura era de 38,9°C, estable hemodinámicamente. El abdomen estaba distendido, doloroso en la palpación del hipocondrio derecho, sin signos de irritación peritoneal. En la TAC de abdomen se destacó la presencia de aire en la pared de la vesícula.
Se inició tratamiento con antibiótico de amplio espectro y se practicó una CL. Se encontraron colecistitis aguda con necrosis de la pared y dos cálculos enclavados en el bacinete vesicular. (Figura 4) Para facilitar la resección, inicialmente se punzó la vesícula biliar con una aguja percutánea para extraer bilis; el material obtenido fue enviado para cultivo, en el que posteriormente se detectó la presencia de Escherichia coli y Enterococcus faecalis. Luego de 48 horas en la UTI el paciente fue trasladado a sala común y dado de alta.
Figura 4. CL. Focos de gangrena en fondo y cuerpo de la pared vesicular (flecha
blanca). Gangrena total en la pared vesicular a nivel de su meso (flecha negra)
Caso 4
Hombre de 66 años, con antecedentes de tabaquismo, etilismo, diabetes mellitus tipo II, linfoma de Hodgkin diagnosticado hace 4 meses. El paciente estaba en el 12° día posterior a la quimioterapia. Fue derivado a nuestro centro por un dolor en hipocondrio derecho que irradia al dorso, fiebre y vómitos de 2 días de evolución. Durante el examen físico se encontraba en buen estado general y con signo de Murphy +. En los análisis se evidenció pancitopenia. La ecografía mostró la vesícula con engrosamiento mural y pequeña banda líquida circundante, y en su interior múltiples imágenes ecorrefringentes con sombra acústica posterior (litiasis) y otras sin sombra acústica posterior sugestivas de burbujas aéreas. Se decidió comenzar con piperacilina tazobactam como antibioticoterapia y realizar una TC, la cual informó vesícula con abundante contenido aéreo en su interior y paredes irregulares de aspecto enfisematoso; aerobilia y presencia de aire libre en espacio subperitoneal del hilio hepático. Realizamos una CP guiada por tomografía (Figura 5) con toma de cultivo. Al séptimo día posterior a la colecistostomía el paciente fue dado de alta sanatorial. Lo demás se realizó por ambulatorio.
Figura 5. Colecistostomía percutánea transhepática guiada por TC. Imagen de la
izquierda: se observa catéter en el interior de la vesícula biliar (flecha blanca). Presencia de aire en la
luz de la vesícula (flecha negra). Imagen de la derecha: catéter de 10 Fr. Se observa débito bilioso turbio
(flecha blanca)
La CE, también conocida como colecistitis aguda gaseosa, neumocolecistitis o gangrena gaseosa de la vesícula biliar, es la presencia de gas en la luz de la vesícula biliar, en la pared o en el líquido pericolecístico. En 1896, Welch y Flexner informaron por primera vez los hallazgos patológicos de la colecistitis enfisematosa. Más tarde, en 1901, Stolz describió la presencia de gas en el interior de la vesícula biliar en tres autopsias. En 1931, Hegner describió los hallazgos radiológicos característicos de esta entidad.1, 4-5, 7
Esta patología es una variante infrecuente pero potencialmente mortal de la colecistitis aguda. García y col. revisaron 20 casos de CE e informaron que la tasa de mortalidad era tan alta como el 25% y la tasa de morbilidad del 50% debido al aumento en la incidencia de gangrena y, por consiguiente, de perforación de la vesícula.1-2, 4
Se presenta, generalmente, en pacientes entre los 50 y los 70 años, con una relación hombre-mujer de 7:1.5,8 Alrededor del 50% de los pacientes padecen diabetes mellitus o presentan algún tipo de enfermedad aterosclerótica periférica subyacente. El aumento en la frecuencia y la gravedad de la infección está directamente relacionado con el estado metabólico. La mayor propensión a la infección en los pacientes diabéticos mal controlados es atribuible a la presencia de hiperglucemia y acidosis, que resultan en la reducción de la movilidad de los fagocitos en las áreas de infección y, también, de la actividad antimicrobiana. Además, se han postulado alteraciones del sistema inmunitario, entre ellas, reducción de la población total de linfocitos T y concentraciones más bajas de inmunoglobulinas. Los estudios patológicos de la vesícula biliar en casos de colecistitis enfisematosa han informado alta incidencia de endarteritis obliterante y oclusión de la arteria cística, lo que lleva a un ambiente isquémico en donde los microorganismos productores de gas se reproducen; esto resulta en el ingreso de gas a la pared de la vesícula biliar. Esta teoría se apoya en los casos reportados después de reanimación cardiopulmonar con hipoperfusión sistémica y "embolización" arterial transhepática. Además, la distensión de la pared de la vesícula genera una fuga de gas a través de la mucosa intacta con propagación hacia las capas perimusculares, por debajo de la serosa. Incluso se puede propagar a la cavidad peritoneal y ser una causa rara de neumoperitoneo. Sin embargo, no siempre estos factores de riesgo se encuentran presentes y tal como describen Ming-Yu Chen y col. pueden presentarse en pacientes más jóvenes sin factores de riesgo, como ocurrió en el paciente del primer caso.5-6,9
Los microorganismos productores de gas generalmente aislados en cultivos son Clostridium spp., Escherichia coli y Klebsiella spp., los cuales se presentan en el 95 % delos casos.6-7 En nuestra casuística se obtuvieron 4 muestras para cultivos. Los resultados estuvieron en concordancia con la literatura médica, a excepción del último caso donde no hubo desarrollo microbiano.
A pesar de la elevada mortalidad asociada a la gangrena y la perforación de la vesícula biliar, los pacientes con CE no presentan signos clínicos característicos de sepsis. Los síntomas de presentación suelen ser inespecíficos e inicialmente indistinguibles de los de la colecistitis aguda no complicada. Los síntomas más comunes son dolor en el hipocondrio derecho, fiebre, náuseas y vómitos. Los signos de irritación peritoneal pueden estar presentes o no, y en casi la mitad de los pacientes se puede palpar una masa en el cuadrante superior derecho del abdomen. Las personas con neuropatía diabética pueden no experimentar el típico dolor en el cuadrante superior derecho del abdomen. La presencia de ictericia hace que el diagnóstico diferencial con la colangitis supurativa obstructiva aguda sea difícil.1, 5-6
Es importante mencionar que los cuatro pacientes cumplían con los criterios diagnósticos establecidos en los criterios de Tokio 2018.11 Entre los estudios por imágenes, la TC de abdomen es el método de elección para el diagnóstico, ya que es el más sensible y específico para la identificación de aire en la luz de la vesícula o en su pared.9,11 Este estudio fue útil para la identificación de aire en los cuatro pacientes presentados y se indicó ya sea para diferenciarla de otras patologías o para confirmar el diagnóstico sospechado en los estudios previos. Es importante mencionar que, en más de un tercio de los pacientes con sospecha clínica de colecistitis, se diagnostica una etiología diferente que incluye neumonía del lóbulo inferior derecho, pancreatitis, pielonefritis, uropatía obstructiva o hepatitis. Por lo tanto, casi todos los pacientes con una supuesta colecistitis requieren diagnóstico por imágenes (US o TC).12
La CE se puede clasificar en tres etapas según la distribución del aire observada en la TC, la cual se correlaciona con la gravedad del proceso inflamatorio y demuestra su progresión de la siguiente manera: 1) aire en la luz de la vesícula biliar, 2) aire en la pared de la vesícula biliar y 3) aire en el tejido perivesicular que implica perforación y fenómeno inflamatorio e infeccioso generalizado en el peritoneo.3,5
Según esta clasificación, los dos primeros casos y el cuarto se encontraban en la etapa 2, mientras que el tercero, en la etapa 1.
El tratamiento de los pacientes con CE debe ser el inicio inmediato del antibiótico y el abordaje quirúrgico. Está indicada la colecistectomía como tratamiento definitivo, aunque la colecistostomía percutánea para pacientes en estado crítico es otra opción válida. Bouras y col. informaron que actualmente el abordaje laparoscópico para CE puede considerarse un procedimiento seguro.3,5,10 En función de la estratificación propuesta por los criterios de Tokio 2018, los casos 1 y 3 fueron una colecistitis grado 2 (moderada), mientras que el caso 2 y 4 corresponderían a un grado 3 (severa). En sintonía con lo mencionado anteriormente, los criterios de Tokio 2018 proponen que los pacientes de los casos 1 y 3 sean sometidos a una CL, mientras que en los casos 2 y 4, tal y como lo realizamos, se recomienda un drenaje de la vesícula biliar (colecistostomía) para controlar la inflamación de la vesícula a la espera de poder mejorar las disfunciones que presentaba la paciente.11,13-14
Una de las fortalezas de este trabajo radica en aportar un estudio a la casuística mundial, ya que en nuestro medio existen escasos reportes sobre esta patología.
La CE es una variante inusual de la infección aguda de la pared de la vesícula biliar causada por organismos formadores de gases. Si bien se presenta con mayor frecuencia en hombres con antecedentes de diabetes mellitus, existen casos donde no se encuentran factores de riesgo típicos de la enfermedad por lo que, sumado a que puede presentar síntomas indistinguibles de los de una colecistitis aguda no complicada, su diagnóstico requiere de una alta sospecha clínica para brindar un tratamiento oportuno.
La TC, que constata la presencia de gas en la pared o el interior de la vesícula biliar, es el método complementario más importante y preciso para el diagnóstico. La combinación de colecistectomía laparoscópica y antibióticos se considera un enfoque eficaz y seguro para el tratamiento de la CE. En pacientes inestables la colecistostomía percutánea es una alternativa válida para el tratamiento.
Consentimiento para la publicación. Para la confección de este manuscrito, se utilizaron datos anonimizados que no han distorsionado su significado científico.
Propiedad intelectual. Los autores declaran que los datos y las figuras presentes en el manuscrito son originales y se realizaron en sus instituciones pertenecientes.
Financiamiento. Los autores declaran que no hubo fuentes de financiación externas.
Conflicto de interés. Los autores declaran no tener conflictos de interés en relación con este artículo.
Aviso de derechos de autor

© 2023 Acta Gastroenterológica Latinoamericana. Este es un artículo de acceso abierto publicado bajo los términos de la Licencia Creative Commons Attribution (CC BY-NC-SA 4.0), la cual permite el uso, la distribución y la reproducción de forma no comercial, siempre que se cite al autor y la fuente original.
Cite este artículo como: García Hevia A, Maragno C, Brizuela J y col. Abordaje integral de la colecistitis enfisematosa: una serie de casos. Acta Gastroenterol Latinoam. 2023;53(2):175-180. https://doi.org/10.52787/agl.v53i2.314
Correspondencia:
Alejandro García Hevia
Correo electrónico: alejandrogarciahevia@gmail.com
Acta Gastroenterol Latinoam 2023;53(2):175-180