Rosángela Ramírez Barranco ID · Carmen Yanette Suárez Quintero ID· Fredy Ávila Almanza ID
Pontificia Universidad Javeriana.
Bogotá, Colombia.
Acta Gastroenterol Latinoam 2023;53(4):390-394
Recibido: 10/05/2023 / Aceptado: 01/12/2023 / Publicado online el 29/12/2023 / https://doi.org/10.52787/agl.v53i4.323
Introducción. Los complejos de Von Meyenburg o hamartomas biliares son una anomalía congénita benigna rara de los conductos biliares intrahepáticos. Generalmente son asintomáticos y se encuentran de manera incidental en los estudios de imágenes pero pueden ser causa de ictericia, dolor abdominal y colangitis. Caso clínico. Paciente de sexo masculino de 80 años, que ingresa en el servicio de urgencias por ictericia progresiva asociada a prurito, con hepatograma alterado y patrón de colestasis. Se le realizan estudios de imágenes en los cuales no se evidencian alteraciones en el parénquima hepático ni en las vías biliares. Se decide realizar una biopsia hepática en la que se observa colestasis canalicular perivenular y presencia de complejos de Von Meyenburg. El paciente recibió tratamiento con ácido ursodesoxicólico con normalización de la colestasis en el seguimiento ambulatorio. Conclusión. El diagnóstico de hamartomas biliares debe tenerse en cuenta en los pacientes con colestasis intrahepática en los que no se identifica la etiología con los estudios iniciales. Representan un desafío diagnóstico ya que no siempre se observan en los estudios de imágenes.
Palabras claves. Complejos de Von Meyenburg, hamartomas biliares, hígado, vías biliares, ictericia, colestasis intrahepática.
Introduction. Von Meyenburg complexes or biliary hamartomas are a rare benign congenital anomaly of the intrahepatic bile ducts. They are usually asymptomatic and incidentally found on imaging studies but can cause jaundice, abdominal pain, and cholangitis. Case report. An 80-year-old male patient was admitted to the emergency department due to progressive jaundice associated with pruritus, with an altered hepatogram and a cholestasis pattern. Imaging studies were performed in which there were no alterations in the liver parenchyma or bile ducts. A liver biopsy was performed, which revealed perivenular canalicular cholestasis and the presence of von Meyenburg complexes. The patient was treated with ursodeoxycholic acid with normalization of cholestasis at outpatient follow-up. Conclusion. The diagnosis of biliary hamartomas should be considered in patients with intrahepatic cholestasis in whom the etiology is not identified by initial studies. They represent a diagnostic challenge as they are not always seen in imaging studies.
Keywords. Von Meyenburg complexes, biliary hamartomas, liver, bile ducts, jaundice, intrahepatic cholestasis.
Abreviaturas
AST: Aspartato aminotransferasa.
ALT: Alanino aminotransferasa.
BT:
Bilirrubina total.
BD: Bilirrubina directa.
BI: Bilirrubina
indirecta.
FA: Fosfatasa alcalina.
GGT: Gamma glutamil
transpeptidasa.
INR: Índice internacional normalizado, por sus siglas en inglés.
CK
7: Citoqueratina 7.
CK 19: Citoqueratina ácida 19.
MUC1: Glicoproteína de
transmembrana mucina -1.
Ca 19-9: Antígeno carbohidratado 19-9.
Los complejos de Von Meyenburg o hamartomas biliares son una anomalía congénita benigna rara de los conductos biliares intrahepáticos. Se producen como resultado de una malformación en la placa ductal que involucra a los pequeños conductos biliares interlobulillares. Generalmente son asintomáticos y se encuentran de manera incidental en los estudios de imágenes pero pueden ser causa de ictericia, dolor abdominal y colangitis.1 Presentamos un caso de un paciente con ictericia persistente, en el que la biopsia hepática documentó complejos de Von Meyenburg que no fueron identificados en los estudios de imágenes.
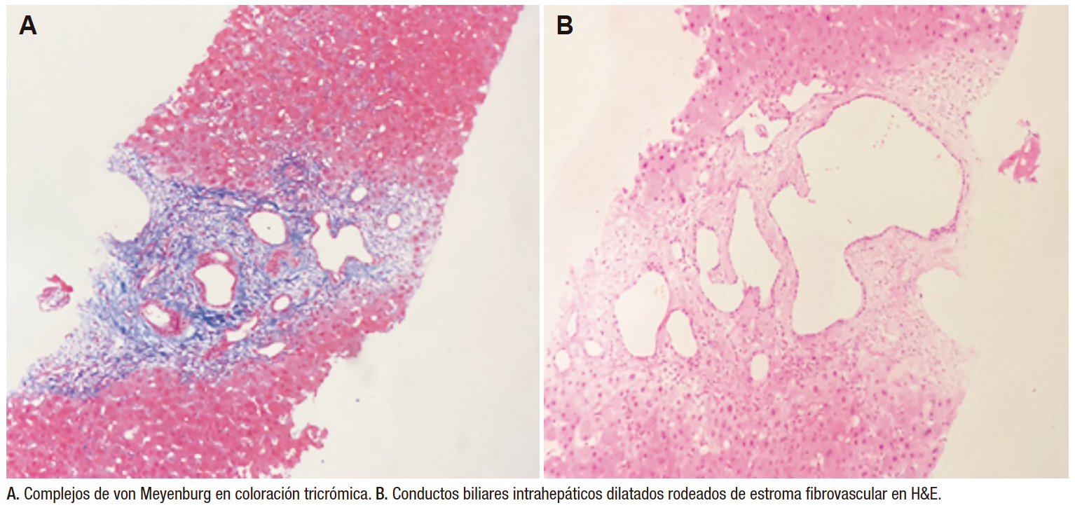
Paciente de sexo masculino de 80 años, con antecedentes de hipertensión arterial, insuficiencia cardíaca controlada y diabetes mellitus, que ingresó en el servicio de urgencias por un cuadro de ictericia asociada a prurito generalizado de un mes de evolución. No había presentado fiebre, dolor abdominal ni pérdida de peso. El único hallazgo en el examen físico fue ictericia generalizada. En el laboratorio se observaron los siguientes resultados: bilirrubina total (BT) 14,5 mg/dL, bilirrubina directa (BD) 7,24 mg/dL, bilirrubina indirecta (BI) 2,69 mg/dL, fosfatasa alcalina (FA) 179 U/L, gamma glutamil transpeptidasa (GGT) 180 U/L, aspartato aminotransferasa (AST) 52 U/L, alanino aminotransferasa (ALT) 38 U/L, albúmina 3,52 g/dL, INR 1,4; hemograma con anemia leve normocítica sin leucocitosis, recuento plaquetario normal. Con el fin de descartar ictericia de causa obstructiva se realizó una ecografía abdominal en la que se observó dilatación de la vía biliar intrahepática, colédoco con diámetro en el límite superior de lo normal (8 mm) y barro biliar. La colangioresonancia evidenció vías biliares intra y extrahepática normales, vesícula biliar distendida con barro biliar. Se realizó ultrasonografía endoscópica cuyo informe fue normal y descartó la presencia de coledocolitiasis. Al tratarse de colestasis de origen intrahepático se solicitaron estudios de anticuerpos antinucleares, anticuerpos antimitocondriales, ceruloplasmina, virus de hepatitis A, B y C; los resultados fueron normales. Como estudio adicional se realizó una tomografía de abdomen con contraste en la que se observó hígado sin lesiones focales, vesícula biliar distendida con paredes levemente engrosadas, sin dilatación de la vía biliar. El hepatograma de seguimiento evidenció BT 23,7 mg/dL, BD 19,9 mg/dL, BI 4,56 mg/dL, FA 324 U/L, AST 239 U/L y ALT 92 U/L. Debido a la persistencia de colestasis intrahepática sin causa aparente se realizó una biopsia hepática en la que se encontró colestasis canalicular perivenular y complejos de Von Meyenburg. No se identificó un proceso necroinflamatorio agudo; la coloración ticrómica no evidenció depósitos de colágeno, la coloración azul de Prusia evidenció escasos depósitos de hierro en algunos hepatocitos y la coloración de rodamina no mostró depósitos de cobre. Los marcadores de inmunoperoxidasa CK7 identificaron conductos biliares conservados y presencia de complejos de Von Meyenburg (Figura 1).
Figura 1. Biopsia hepática
Se indicó tratamiento con ácido ursodesoxicólico, 600 mg/día. Luego de tres meses de seguimiento ambulatorio la ictericia mejoró. En el análisis bioquímico de control se evidenciaron BT 1,97 mg/dL, BD 1,75 mg/dL, BI 0,22 mg/dL, FA 114 U/L, GGT 114 U/L, hemograma normal, albúmina 4,3 g/dL, INR 1,02. A los seis meses, el paciente presentó un hepatograma normal con ausencia de ictericia y prurito.
En el presente artículo se describe el caso clínico de un paciente con colestasis intrahepática persistente, sin evidencia de etiología en las imágenes diagnósticas, por lo que se realiza una biopsia hepática en la que se observan complejos de Von Meyenburg. Los hamartomas biliares o complejos de Von Meyenburg son lesiones quísticas hepáticas benignas que consisten en estructuras similares a conductos en un estroma fibroso. En la mayoría de los casos se diagnostican de forma incidental. Su prevalencia es de hasta 5,6% en grandes series de autopsias.2 Esta condición fue descrita por primera vez en 1918 por el patólogo alemán Hans von Meyenburg.3,4
A través del ultrasonido suelen evidenciarse como pequeñas lesiones hiperecóicas, hipoecóicas o mixtas con ecos en cola de cometa que crean una ecoestructura heterogénea. La tomografía con contraste evidencia lesiones hipodensas únicas o múltiples que no muestran realce con contraste. En la resonancia magnética con gadolinio se evidencian lesiones quísticas de entre 10 mm y 15 mm, sin comunicación con el sistema biliar normal y con presencia de fibrosis. Son hipointensas en T1 en comparación con el parénquima hepático. Además, se ha descrito un realce hiperintenso del borde periférico de las lesiones en T2. Dado que la mayoría de los hamartomas tienen un tamaño menor a 5 mm, a menudo no se detectan en las imágenes, como ocurrió en el presente caso.5-9
El diagnóstico diferencial incluye metástasis hepáticas, que usualmente son más heterogéneas en su tamaño; quistes hepáticos simples, los cuales rara vez son pequeños y uniformes; y microabscesos hepáticos, los cuales se suelen presentar con fiebre y dolor en hipocondrio derecho.10,11 Histológicamente, se caracterizan como nódulos compuestos por conductos biliares dilatados y tortuosos, revestidos de una sola capa de epitelio cuboidal, sobre un estroma fibroso.12 Los estudios de inmunohistoquímica que muestran el componente biliar de esta lesión son positivos para CK7, como en el presente caso. También se puede ver positividad para CK19 y MUC1. Ninguna de estas tinciones permite diferenciar glándulas benignas de neoplásicas.13,14
Los niveles elevados de Ca 19-9 no siempre se asocian con la presencia de neoplasias, por lo que se considera un marcador no fiable de malignidad.15 Existe un reporte de caso de un paciente con un tumor hepático multiquístico en el que se sospechó neoplasia papilar intraductal de la vía biliar o cistadenocarcinoma por la presencia de niveles extremadamente altos de Ca 19-9 (mayores a 12.000 U/ml), y se llegó al diagnóstico de hamartoma biliar multiquístico luego de una hepatectomía izquierda.16 Es importante el seguimiento del paciente a largo plazo debido a que algunos reportes de casos han mostrado la transformación maligna a colangiocarcinoma.17-19 Un reporte de cuatro casos describe la asociación de complejos de Von Meyenburg con hepatocarcinoma, pero se desconoce si existe una relación causa–efecto entre ambas patologías.20
El espectro de presentación clínica es variable. Puede ser una condición asintomática de hallazgo incidental o manifestarse mediante colestasis, episodios autolimitados de colangitis o colangitis recurrente. El tratamiento de los pacientes con colangitis recurrente es un desafío y puede requerir trasplante hepático.21
El ácido ursodesoxicólico ha demostrado, en un estudio con un modelo animal de enfermedad poliquística hepática, la inhibición de la proliferación de colangiocitos quísticos y la disminución de los niveles de ácidos biliares citotóxicos en el hígado.22-23 En un reporte de caso de un paciente con complejos de Von Meyenburg no hubo respuesta al tratamiento con ácido ursodesoxicólico,24 a diferencia de nuestro paciente que presentó normalización de las alteraciones bioquímicas de colestasis y mejoría clínica en el seguimiento.
El diagnóstico de hamartomas biliares debe tenerse en cuenta en los pacientes con colestasis intrahepática en los que no se identifica la etiología con los estudios iniciales. Representan un desafío diagnóstico ya que no siempre se observan en los estudios por imágenes. En ocasiones se llega al diagnóstico mediante una biopsia hepática o luego de una resección quirúrgica innecesaria. Es fundamental hacer diagnóstico diferencial con tumores hepáticos primarios o metástasis. En nuestro paciente, debido a la presentación clínica con colestasis, se indicó tratamiento con ácido ursodesoxicólico con buena respuesta.
Consentimiento para la publicación. Se obtuvo el consentimiento informado por escrito del paciente o su padre, tutor o familiar, para la publicación de los datos y/o imágenes clínicas en beneficio de la ciencia. La copia del formulario de consentimiento se encuentra disponible para los editores de esta revista.
Propiedad intelectual. Los autores declaran que los datos y las figuras presentes en el manuscrito son originales y se realizaron en sus instituciones pertenecientes.
Financiamiento. Los autores declaran que no hubo fuentes de financiación externas.
Conflicto de interés. Los autores declaran no tener conflicos de interés en relación con este artículo.
Aviso de derechos de autor

© 2023 Acta Gastroenterológica Latinoamericana. Este es un artículo de acceso abierto publicado bajo los términos de la Licencia Creative Commons Attribution (CC BY-NC-SA 4.0), la cual permite el uso, la distribución y la reproducción de forma no comercial, siempre que se cite al autor y la fuente original.
Cite este artículo como: Ramírez Barranco R, Suárez Quintero C Y y Ávila Almanza F. Complejos de Von Meyenburg o hamartomas biliares: reporte de un caso. Acta Gastroenterol Latinoam. 2023;53(4):390-394. https://doi.org/10.52787/agl.v53i4.323
Correspondencia:
Rosángela Ramírez Barranco
Correo electrónico: rosangelaramirezb@gmail.com
Acta Gastroenterol Latinoam 2023;53(4)390-394