Jesica Andruetto ID· Mariano Volpacchio ID· Cecilia Cabral ID· Germán Francisco Rojas ID· Gabriel Adrián Mariño Camacho ID· Esteban González Ballerga ID
Hospital de Clínicas José de San Martín.
Ciudad Autónoma de Buenos Aires,
Argentina.
Acta Gastroenterol Latinoam 2023;53(3):255-256
Recibido: 10/08/2023 / Aceptado: 12/09/2023 / Publicado
online el 30/09/2023 / https://doi.org/10.52787/agl.v53i3.340
Presentamos el caso de una paciente femenina de 21 años de edad, sin antecedentes de relevancia, que consulta por cuadro de dolor abdominal de un año de evolución, asociado a fiebre vespertina y pérdida de peso de 20 kg (29% del peso corporal total). Al examen físico se presenta con palidez cutáneo-mucosa y hepatomegalia dolorosa a la palpación. Se solicitan exámenes de laboratorio, en los cuales se evidencia, hematocrito de 32%, hemoglobina de 10,2 g/dL, leucocitos de 16750 /mm3, bilirrubina total de 6,4 mg/dL (VN 1 mg/dl),bilirrubina directa de 5,3 mg/dL (VN 0,5 mg/dl) y fosfatasa alcalina de 228 U/L (VN 109 U/L); el resto de los parámetros son normales. Hemocultivos, serologías virales y autoanticuerpos son negativos.
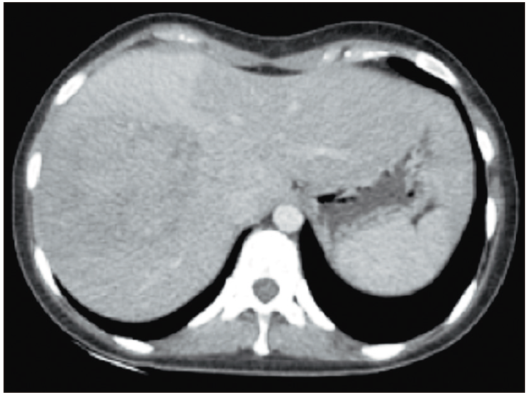
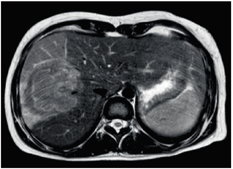
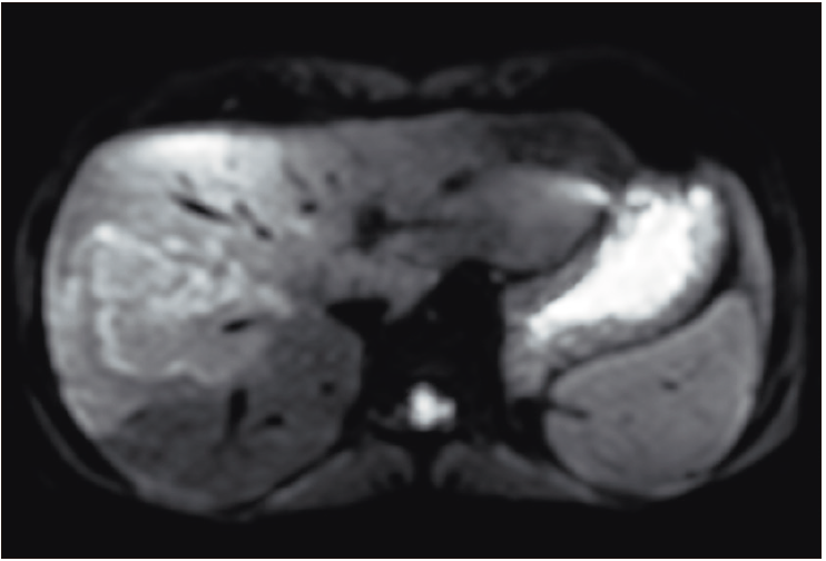
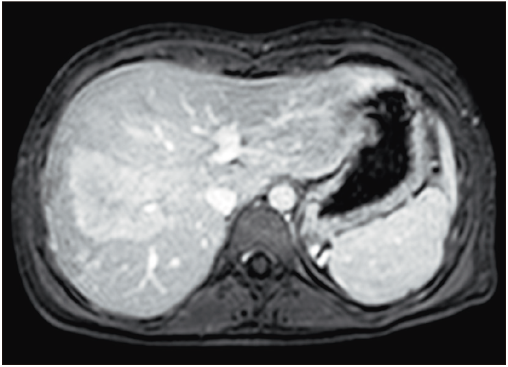
Se realiza una tomografía de tórax, abdomen y pelvis con contraste oral y endovenoso (Figura 1), en la que se observa una formación voluminosa de 9 cm, de contornos lobulados, heterogénea y con área central hiperdensa. Se prosigue a realizar una resonancia de abdomen trifásica, en la cual se observa una lesión sólida de contornos irregulares y señal heterogénea de 55 x 56 x 50 mm, hipervascular, con realce capsular periférico tardío, múltiples imágenes nodulares satélites y trombosis de la vena porta derecha (Figuras 2a, 2b y 2c).
Figura 1. Imagen axial de TC con contraste endovenoso, obtenida en
fase venosa portal, que muestra la presencia de una masa en el lóbulo hepático derecho que tiene bordes
parcialmente definidos y un escaso refuerzo central. La lesión es ligeramente heterogénea
Figura 2a. Imagen en plano axial de resonancia magnética ponderada
en secuencia T2, que demuestra una masa en el lóbulo hepático derecho con una señal levemente
hipointensa y heterogénea con un halo de mayor señal periférica. La baja señal puede reflejar un
componente fibroso o bien hipercelularidad. El parénquima circundante presenta una leve hiperintensidad
difusa, que probablemente refleja edema, inflamación o hiperemia
Figura 2b. Imagen de resonancia magnética ponderando la secuencia de
difusión con valor b alto, que demuestra una restricción aumentada en forma moderada en la lesión,
hallazgo que se traduce en hipercelularidad
Figura 2c. Imagen de resonancia magnética ponderando secuencia T1
con supresión grasa tras la administración del contraste, que demuestra un refuerzo moderado y
heterogéneo de la lesión con menor realce central. Se puede apreciar un sector de la vena suprahepática
media atravesando el seno de la masa
Resolución del caso en la página 324
Correspondencia: Jesica Andruetto
Correo electrónico: andruettoantonella@gmail.com
Acta Gastroenterol Latinoam 2023;53(3):255-256