Se realiza punción con aguja fina y gruesa -en la cual la muestra no resulta redituable para anatomía patológica.- Los estudios bacteriológicos, técnica de Ziehl-Neelsen y citometría de flujo son negativos. La paciente es evaluada por un equipo multidisciplinario y, debido a una alta sospecha de malignidad, se decide la resolución quirúrgica, por lo que se realiza una hepatectomía derecha reglada de los segmentos V, VI, VII, VIII y colecistectomía.
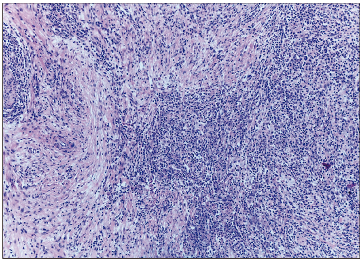
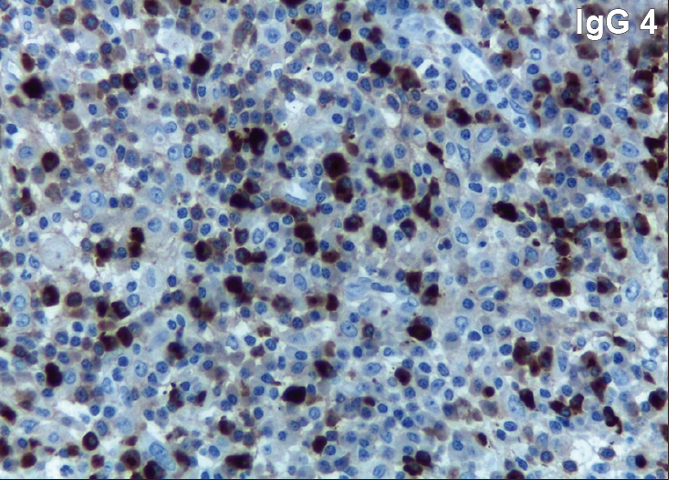
Los resultados histológicos de la pieza quirúrgica informan un infiltrado linfoplasmocitario, eosinófilos, marcada fibrosis que adopta un patrón de tipo “estoriforme” y tromboflebitis obliterativa. En la inmunohistoquímica se observa un promedio de 156 células plasmáticas IgG4 positivas. Dichos hallazgos histológicos son sugestivos de pseudotumor inflamatorio relacionado a IgG4 (Figuras 3 y 4).
Figura 3. Se observa parénquima hepático con infiltración por numerosas células
plasmáticas, que se disponen de manera difusa y en grupos. Dichas células se acompañan de marcada fibrosis
colágena, que en algunas áreas adopta un patrón de tipo “estoriforme”
Figura 4. Técnica de IgG4. Se observa un promedio de 156 células plasmáticas. La relación IgG4/IgG fue mayor al 68%, 84% y 75% en tres sectores

La enfermedad relacionada con IgG4 es una afección inflamatoria crónica caracterizada por la infiltración tisular de linfocitos y células plasmáticas secretoras de IgG4, y la presencia de fibrosis estoriforme. Generalmente tiene una respuesta rápida al tratamiento con corticoides. Presenta diversas manifestaciones inflamatorias como pancreatitis autoinmune, colangitis esclerosante, sialoadenitis, dacrioadenitis, entre otras; y formas raras de lesiones sólidas conocidas como pseudotumores relacionados con IgG4.
La sintomatología es variable y a menudo causada por el efecto de ocupación de espacio dentro del órgano afectado. Los pacientes pueden ser asintomáticos o bien presentar síntomas constitucionales como astenia, pérdida de peso, linfadenopatías y fiebre. Los estudios imagenológicos no son específicos, al ser lesiones hipo e hipervascularizadas con distintos patrones de realce que imitan patologías malignas.
El pseudotumor inflamatorio puede desarrollarse en el pulmón, el bazo, el páncreas y, raramente, en el hígado. Esta última localización se encuentra restringida a limitados reportes de casos. La cirugía se reserva principalmente para la persistencia de síntomas a pesar del tratamiento farmacológico, crecimiento de la lesión, compromiso del hilio hepático con riesgo de hipertensión portal, o incertidumbre diagnóstica.
Debido a la posibilidad de afectación multiorgánica y recurrencia, es vital el seguimiento exhaustivo y multidisciplinario.
Consentimiento para la publicación. Para la confección de este manuscrito, se utilizaron datos anonimizados que no han distorsionado su significado científico.
Propiedad intelectual. Los autores declaran que los datos y las figuras presentes en el manuscrito son originales y se realizaron en sus instituciones pertenecientes.
Financiamiento. Los autores declaran que no hubo fuentes de financiación externas.
Conflicto de interés. Los autores declaran no tener conflictos de interés en relación con este artículo.
Aviso de derechos de autor

© 2023 Acta Gastroenterológica Latinoamericana. Este es un artículo de acceso abierto publicado bajo los términos de la Licencia Creative Commons Attribution (CC BY-NC-SA 4.0), la cual permite el uso, la distribución y la reproducción de forma no comercial, siempre que se cite al autor y la fuente original.
Cite este artículo como: Andruetto J, Volpacchio M, Cabral C y col. Causa infrecuente de lesión hepática en paciente joven. Acta Gastroenterol Latinoam. 2023;53(3):324-325. https://doi.org/10.52787/agl.v53i3.340
Acta Gastroenterol Latinoam 2023;53(3):324-325