Jessica Milena Campo Rago ID· Manuela Laguna Kirof ID· Diana Rodríguez de la Hoz ID· Nebil Larrañaga ID
Diagnóstico por Imágenes, Instituto Universitario CEMIC.
Ciudad Autónoma de Buenos
Aires, Argentina.
Acta Gastroenterol Latinoam 2025;55(1):35-36
Recibido: 31/01/2025 / Aceptado: 06/03/2025 / Publicado
online el 31/03/2025 / https://doi.org/10.52787/agl.v55i1.466
Paciente masculino de 49 años que acude al servicio de urgencias por presentar dolor en hipogastrio de intensidad 8/10. Al examen físico se encuentra lúcido, afebril, sin signos de deshidratación, con abdomen distendido, sin dolor durante la palpación superficial ni profunda, sin signos de irritación peritoneal. Le solicitan un análisis bioquímico, cuyos hallazgos son los siguientes: leucocitos 10990, hemoglobina 14.7 g/dl, hematocrito 43%, VCM 87.6 fL, HCM 34.2 pg, CHCM 34.2 g/dL, plaquetas 283000, neutrófilos absolutos 9034, linfocitos absolutos 1220, amilasa 35 UI/L, lipasa 31UI/L, bilirrubina total 0.6 mg/dL, bilirrubina directa 0.2 mg/dL, fosfatasa alcalina 47 UI/L, GOT 16 UI/L, GPT 11 UI/L, creatinina 0.83 mg/dL, sodio 140 mEq/L, potasio 4.4 mEq/L, cloro 103 mEq/L, glucosa 105 mg/dL, sedimento de orina normal.
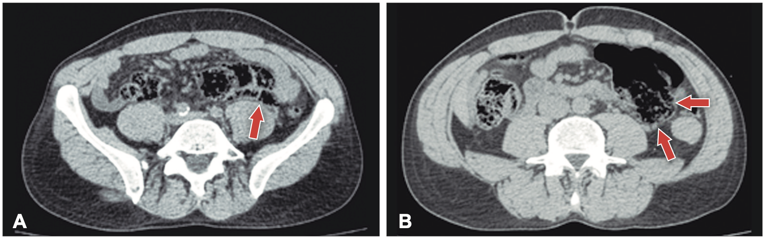
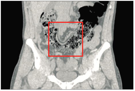
Posteriormente se realiza una tomografía computarizada de abdomen y pelvis sin contraste donde se observan asas intestinales dilatadas (Figura 1), ciego levemente distendido con abundante contenido propio, que cruza la línea media hacia el flanco izquierdo (Figuras 2 y 3), tracción e ingurgitación de los vasos mesentéricos (Figura 4).
Figura 1. Asas colónicas dilatadas
Figura 2. A y B: Corte axial, donde se observa el ciego localizado hacia el lado
izquierdo
Figura 3. Corte coronal. A: se observa ciego que cruza la línea media
para localizarse en el flanco izquierdo. B: ciego levemente distendido de aproximadamente 80
mm
Figura 4. Corte coronal. Se observa tracción e ingurgitación de los
vasos mesentéricos
El paciente presenta mejoría de los síntomas por lo que, siete horas después, le solicitan un control con tomografía computarizada con contraste (Figura 5).
Figura 5. Colon ascendente y ciego en flanco derecho, no dilatados. con pasaje de
contraste hacia su
luz

Resolución del caso en la página 62
Correspondencia: Jessica Milena Campo Rago
Correo electrónico: jcampo@cemic.edu.ar
Acta Gastroenterol Latinoam 2025;55(1):35-36