Victoria Rodríguez1 ID· Martina Cereijo2 ID· Mariela Antoniska3 ID· Laura Busquet4 ID· Adriana Bottero5 ID· Mónica Contreras6 ID
1Jefa de residentes de Gastroenterología Infantil.
2Residente de
Gastroenterología Infantil.
3Médica Adjunta del Servicio de Gastroenterología
Infantil y miembro del Equipo Interdisciplinario de Enfermedad Inflamatoria
Intestinal.
4Médica Adjunta del Servicio de Gastroenterología
Infantil.
5Jefa de Clínica del Servicio de Gastroenterología
Infantil.
6Jefa de Clínica del Servicio de Gastroenterología y del Equipo
Interdisciplinario de Enfermedad Inflamatoria Intestinal.
Hospital Juan P. Garrahan, Ciudad
Autónoma de Buenos Aires, Argentina.
Acta Gastroenterol Latinoam 2026;56(1):107-113
Recibido: 11/07/2025 / Aceptado: 24/02/2026 / Publicado online el 31/03/2026 / https://doi.org/10.52787/agl.v56i1.503
La Enfermedad de Crohn pediátrica localizada exclusivamente a nivel ileal es una entidad poco frecuente en nuestro medio. Debido a su presentación clínica solapada, se debe tener un alto índice de sospecha y plantear diagnósticos diferenciales respecto de patologías infecciosas, infiltrativas y otras entidades menos frecuentes. Se presenta el caso de un paciente de 11 años con antecedentes de anemia, dolor en fosa ilíaca derecha, descenso ponderal y fiebre. En los estudios de imágenes se evidenció un engrosamiento del íleon terminal y estenosis intestinal próxima a la válvula ileocecal, con dilatación pre-estenótica. En la video-colonoscopía se observó que la mucosa colónica era normal y se encontró estenosis cicatrizal de la válvula ileo-cecal. La anatomía patológica no fue concluyente, informando colitis inespecífica moderada. Ante la clínica de suboclusión intestinal se realizó la resección laparoscópica de íleon distal, apéndice, válvula y ciego, con la confección de una ostomía en caño de escopeta. La histología de la pieza quirúrgica confirmó el diagnóstico de Enfermedad de Crohn.
Palabras claves. Enfermedad de Crohn, ileítis, pediatría.
Pediatric Crohn’s disease localized exclusively to the ileum is a rare condition in our setting. Due to its overlapping clinical presentation, a high index of suspicion is required, and differential diagnoses must be considered with respect to infectious, infiltrative, and other less frequent conditions. We present the case of an 11-year-old patient with a history of anemia, pain in the right iliac fossa, weight loss, and fever. Imaging studies revealed thickening of the terminal ileum and intestinal stenosis near the ileocecal valve, with prestenotic dilation. Video colonoscopy showed that the colonic mucosa was normal and revealed cicatricial stenosis of the ileocecal valve. The pathological anatomy was inconclusive, reporting moderate nonspecific colitis. Due to symptoms of subintestinal obstruction, a laparoscopic resection of the distal ileum, appendix, ileocecal valve, and cecum was performed, with creation of a double-barrel ostomy. Histology of the surgical specimen confirmed the diagnosis of Crohn’s disease.
Keywords. Crohn’s disease, ileitis, pediatrics.
Abreviaturas
EC: Enfermedad de Crohn.
ECI: Enfermedad de Crohn ileal.
ECC: Enfermedad de
Crohn colónica aislada.
TBC: Tuberculosis.
TAC: Tomografía axial
computarizada.
RMN: Resonancia magnética nuclear.
VIC: Válvula
ileocecal.
VEDA: Videoendoscopía digestiva alta.
VCC:
Video-colonoscopía.
FID: Fosa ilíaca derecha.
EII: Enfermedad inflamatoria
intestinal.
ASCA: Anticuerpos anti-Saccharomyces cerevisiae.
ANCA: Anticuerpos
anticitoplasma de los neutrófilos.
TNF: Factor de necrosis tumoral.
PCR: Reacción en
cadena de polimerasa.
Col: Colaboradores.
En 1932 los cirujanos Ginzburg y Oppenheimer junto al gastroenterólogo Burill B. Crohn publicaron la primera serie de casos que describía una nueva condición intestinal en la cual los pacientes presentaban obstrucción a nivel íleo-cecal y requerían abordaje quirúrgico. Desde aquel entonces la clasificación fenotípica de esta patología ha evolucionado para estratificar a los pacientes en Enfermedad de Crohn con afectación ileal aislada (ECI), Enfermedad de Crohn ileocolónica (ECIC) y Enfermedad de Crohn colónica aislada (ECC).1
Por su parte, la ileítis terminal ofrece un amplio abanico de posibilidades diagnósticas, entre las cuales deben descartarse procesos infecciosos (Mycobacterium tuberculosis, Giardia lamblia, Yersinia enterocolítica, Anisakis simplex), tumorales (linfoma, tumor carcinoide, adenocarcinoma), infiltrativos (histiocitosis, endometriosis) y vasculares (púrpura de Schonlein Henoch y otras vasculitis).2
De todas las anteriores, la tuberculosis (TBC) intestinal debe constituir el principal diagnóstico diferencial respecto de la ECI debido a la prevalencia en nuestro medio y su localización predominantemente en la región ileo-cecal, ya que allí existe un gran volumen de tejido linfoide. La afectación intestinal de la Enfermedad de Crohn suele iniciarse a nivel submucoso, extendiéndose hacia la mucosa donde puede originar úlceras, y hacia la serosa formando trayectos fistulosos.
Debido a la presentación clínica poco específica e insidiosa, el retraso diagnóstico de la ECI suele llegar, en algunos casos, hasta los 24 meses. Los síntomas más frecuentemente reportados han sido el dolor abdominal crónico localizado en fosa ilíaca derecha, el descenso de peso, la hiporexia, síntomas oclusivos o pseudo-oclusivos, sumado o no a diarrea crónica. Además, en el laboratorio se puede evidenciar anemia, hipoalbuminemia y reactantes de fase aguda elevados.3
La ecografía abdominal suele ser uno de los primeros estudios por imágenes solicitados como método complementario de diagnóstico en pediatría ante un cuadro de dolor abdominal crónico. Personal entrenado -ya que es un estudio operador dependiente- puede detectar engrosamiento, hipervascularización al Doppler color, pérdida de estratificación de las capas intestinales, aumento de la grasa mesentérica subyacente, adenopatías regionales y complicaciones como fístulas y abscesos. La tomografía axial computarizada (TAC) de abdomen y la resonancia magnética nuclear (RMN) con contraste oral y endovenoso brindarán información acerca de la presencia o no de un posible engrosamiento difuso parietal del íleon terminal, engrosamiento asimétrico de la válvula ileocecal (VIC), presencia de estenosis o dilatación y adenopatías regionales.
La videoendoscopía digestiva alta (VEDA) suele presentar hallazgos macroscópicos normales; mientras que en la video-colonoscopía (VCC) pueden encontrarse úlceras profundas con fondo de fibrina y bordes sobreelevados a nivel ileal. En la anatomía patológica la presencia de granulomas en el íleon terminal, sin necrosis ni supuración, con células gigantes multinucleadas; con tinción Ziehl Neelsen negativa, confirmará el diagnóstico.
A continuación, se presenta el caso de un paciente que inicia su cuadro clínico con dolor abdominal localizado en la fosa ilíaca derecha, hiporexia marcada, anemia severa y deterioro ponderal de varios meses de evolución.
Paciente masculino de 11 años que consultó al servicio de gastroenterología de nuestro hospital por dolor abdominal intermitente a predominio de fosa ilíaca derecha (FID) de un año de evolución, asociado a astenia y descenso ponderal en los últimos 6 meses (5 kg referidos, percentilo de peso menor a 3 al ingreso). Su pediatra había solicitado 3 meses previos a nuestra consulta un laboratorio general donde se observó anemia microcítica, hipoalbuminemia y reactantes de fase aguda aumentados. Traía una ecografía abdominal informada como normal.
Antecendentes de relevancia: madre con miastenia gravis y artritis reumatoide, y hermana con leucemia mieloide aguda en tratamiento.
Se indicó su internación para estudio y abordaje terapéutico. Al ingreso se constató anemia ferropénica (hemoglobina 7,9 g/dl -valor normal 12,6 – 16,1-, volumen corpuscular medio 66,8 Fl -bajo-, concentración de hemoglobina corpuscular media 29,3 g/dl -baja-, amplitud de distribución eritrocitaria 18,9% -elevado-), hipoalbuminemia (3,34 g/dl) y reactantes de fase aguda elevados (eritrosedimentación 76 mm/h, proteína C reactiva 148,37 mg/l, plaquetas 765000/mm3).
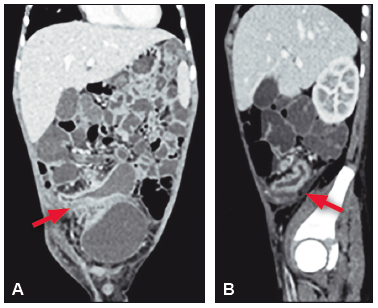
La radiografía de abdomen de pie mostró niveles hidroaéreos a nivel de FID (Figura 1). En la ecografía abdominal se encontró engrosamiento de asas, discreta alteración de la ecoestructura y aumento de la vascularización al Doppler color en FID. Se realizó además una RMN de intestino delgado que evidenció la dilatación de las asas del íleon distal con un área de estenosis cercana a la válvula ileocecal y colección heterogénea para-vesical derecha asociada a un marcado aumento de la ecogenicidad de la grasa mesentérica y múltiples ganglios de 4 x 3,2 cm (Figura 2).
Figura 1. Radiografía abdominal frente, de pie, con presencia de niveles
hidroaéreos
Figura 2. RMN de abdomen con contraste en cortes coronales (A) y sagitales (B) con
evidencia de un área de estenosis cercana a la VIC con dilatación proximal de íleon distal
Ante la afectación íleo-cecal se plantearon diversos diagnósticos diferenciales, siendo los principales: enfermedad inflamatoria intestinal (EII), TBC intestinal y linfoma.
En los estudios realizados para búsqueda etiológica se encontró: anticuerpos anti-Saccharomyces cerevisiae (ASCA) IgA e IgG positivos, anticuerpos anticitoplasma de los neutrófilos (ANCA) negativo; calprotectina en materia fecal mayor a 1800; radiografía torácica dentro de parámetros normales, prueba de Mantoux negativa y lavados gástricos para la detección de bacilos ácido alcohol resistentes negativos.
En la VEDA se observó gastropatía eritematosa leve; la VCC mostró una mucosa colónica
normal, sin lesiones. No se logró realizar la intubación ileal debido a la estenosis de la válvula ileocecal
(Figura 3).
Las PCR virales, el estudio micológico, la tinción Ziehl Neelsen y el GenExpert fueron
negativas. La anatomía patológica informó: gastritis crónica inactiva no atrófica leve; colitis inespecífica
con escasos signos de cronicidad inactiva.
Figura 3. Estenosis de válvula ileocecal. A. VIC, B.
ciego
Ante el hallazgo de la colección para-vesical derecha se indicó un tratamiento antibiótico empírico. También nutrición parenteral y enteral exclusiva.
El paciente evolucionó con cuadros suboclusivos durante el primer mes de internación y, ante la sospecha de Enfermedad de Crohn complicada, se realizó una laparotomía exploradora que puso en evidencia una estenosis extensa de íleon distal cercano a válvula ileocecal. Se resecaron aproximadamente 25 cm de íleon incluyendo la zona de estenosis, apéndice, válvula y ciego, realizándose posteriormente la ostomía en caño de escopeta.
La anatomía patológica de la pieza quirúrgica informó compromiso del íleon con la mucosa extensamente ulcerada en el área de estenosis, y en algunos sectores proceso inflamatorio panentérico y signos de cronicidad. Focalmente se observaron células gigantes multinucleadas y a nivel colónico la histoarquitectura y la mucosecreción estaban conservadas. Se concluyó que el íleon distal presentaba un proceso inflamatorio crónico con actividad severa, úlcera transmural focal con fistulización incipiente; las tinciones específicas e inmunohistoquímica descartaron la presencia de procesos tumorales e infecciosos. Los hallazgos eran compatibles con Enfermedad de Crohn.
El paciente presentó buena evolución clínica posquirúrgica, con buen progreso ponderal, buena tolerancia por vía oral y mejoría de parámetros bioquímicos, por lo que se otorgó el egreso hospitalario.
Posteriormente se revaloró con VEDA, en la que presentó mucosa normal y VCC, donde se observaron úlceras aftoides en el colon descendente (Figura 4) con los últimos 3 cm de íleon normales. Para completar el estudio del intestino medio se utilizó una cápsula endoscópica, mediante la cual se observaron úlceras aftoides y erosiones cubiertas por fibrina a nivel del yeyuno; en íleon medio-distal se constató la presencia de úlceras de diferente configuración y tamaño (menores a 2 cm), rodeadas de un halo eritematoso; en los 5 cm previos a la ileostomía la mucosa presentaba edema, eritema y hemorragias subepiteliales; el índice de Lewis fue moderado-severo (Figura 5).
Figura 4. Úlcera aftoide en el colon descendente
Figura 5. A. Ulceración en yeyuno. B. Úlcera lineal en yeyuno.
C. Úlcera cubierta con fibrina en íleon. D. Úlceras longitudinales y
circulares cubiertas con fibrina en íleon
Se indicó tratamiento con anti-factor de necrosis tumoral (TNF), infliximab, presentando buena evolución clínica y terapéutica, evaluándose la reconstrucción de tránsito intestinal.
La afectación ileal aislada como forma de presentación al debut de la Enfermedad de Crohn ha sido reportada en algunos trabajos, principalmente en población adulta.
En el ensayo REACT, en el que Reena Khanna, y col. realizaron la evaluación aleatoria de un algoritmo para el tratamiento de Crohn, basado en EC en adultos, se observó que la localización de la enfermedad ileocolónica e ileal aislada conllevaban el doble de riesgo, en comparación a la enfermedad colónica, de sufrir complicaciones relacionadas con la enfermedad, así como una mayor tendencia a someterse a cirugías en los primeros 24 meses de enfermedad, tal como sucedió en el caso presentado.4
Un trabajo realizado en la Universidad de California describe a la EC ileal como una entidad con mayor asociación a patología perianal y espondilitis anquilosante, incluso como formas de presentación, entidades que no fueron halladas en nuestro paciente hasta el momento.3
En un estudio multicéntrico realizado en 2020 por Toer W Stevens y col., basado en población adulta, se comparó el tratamiento con infliximab vs. cirugía resectiva en pacientes con EC ileal, con un seguimiento a 33 meses. Se reportó que casi la mitad de los pacientes sometidos inicialmente a cirugía, no requirieron otras intervenciones, así como tampoco tratamiento farmacológico. Por otro lado, la mitad de los pacientes que habían recibido inicialmente infliximab requirieron abordaje quirúrgico, y la otra mitad mantuvo diversos tratamientos biológicos.5
Recientemente, un trabajo realizado en Dinamarca con adultos diagnosticados de EC ileal e ileocecal no complicadas comparó la evolución al año de pacientes que fueron tratados inicialmente con anti-TNF vs. aquellos a los que se le realizó resección ileocecal posterior al diagnóstico. Estos últimos presentaron menor uso de corticoides, menor tasa de hospitalización e intervenciones quirúrgicas posteriores.6
Ante la presentación de una EII complicada (enfermedad fistulizante, estenosante y perianal), la European Crohn’s and Colitis Organisation (ECCO), en sus lineamientos del año 2024 propone el abordaje quirúrgico como primera opción. El tiempo de permanencia de las ostomías no se encuentra claramente establecido, por lo que se recomienda individualizar según las características de cada caso.7
Por último, el tratamiento profiláctico posterior a la cirugía está indicado en los casos con alto riesgo de recurrencia de EC.7 Los agentes anti-TNF se describen como una terapia eficaz para prevenir la recurrencia endoscópica posoperatoria.8 Evidencia reciente describe también la eficacia de ustekinumab y vedolizumab en estos casos, con tasas similares de éxito, aunque se requieren estudios de seguimiento a largo plazo respecto de los biológicos anteriormente mencionados.9
En el caso del paciente presentado, se optó por la resección laparoscópica inicial asociada al tratamiento con anti-TNF posterior debido a la enfermedad estenosante extensa al momento del diagnóstico y el riesgo de recaída post-resección por el compromiso del intestino medio observado mediante la endocápsula. Según la evolución clínica y endoscópica se valorará el momento oportuno para la reconstrucción del tránsito intestinal, teniendo en cuenta que se trata de un paciente en máximo período de crecimiento.
La enfermedad de Crohn continúa siendo un desafío diagnóstico en la edad pediátrica. Su amplio espectro clínico de presentación en niños y adolescentes puede ser causa de retraso o errores diagnósticos, con impacto negativo durante el período de máximo crecimiento y desarrollo. Esto último se profundiza cuando el paciente presenta una enfermedad ileal aislada, manifestación sumamente infrecuente en pediatría, que requiere un alto índice de sospecha para su diagnóstico de certeza.
Otro punto a destacar ante la falta de soporte bibliográfico suficiente en el tratamiento de esta entidad es el abordaje multidisciplinario e individualizado de cada paciente, con necesidad de posibles terapias combinadas para lograr el objetivo terapéutico deseado.
Consentimiento para la publicación. Para la confección de este manuscrito, se utilizaron datos anonimizados que no han distorsionado su significado científico.
Propiedad intelectual. Las autoras declaran que los datos y las figuras presentes en el manuscrito son originales y se realizaron en sus instituciones pertenecientes.
Financiamiento. Las autoras declaran que no hubo fuentes de financiación externas.
Aviso de derechos de autor

© 2026 Acta Gastroenterológica Latinoamericana. Este es un artículo de acceso abierto publicado bajo los términos de la Licencia Creative Commons Attribution (CC BY-NC-SA 4.0), la cual permite el uso, la distribución y la reproducción de forma no comercial, siempre que se cite al autor y la fuente original.
Cite este artículo como: Rodríguez V, Cereijo M, Antoniska M y col. Enfermedad de Crohn ileal como forma de presentación de enfermedad inflamatoria intestinal en pediatría. Acta Gastroenterol Latinoam. 2026;56(1):107-113. https://doi.org/10.52787/agl.v56i1.503
Correspondencia:
Victoria Rodríguez
Correo electrónico: vickyrodriiguez91@gmail.com
Acta Gastroenterol Latinoam 2026;56(1):107-113