María Laura Valberdi Lecce ID· María Cristina Arregui ID· Carmen Lucía Otegui Banno ID Andrea Besga ID
Hospital de Niños Sor María Ludovica de La Plata.
Provincia de Buenos Aires.
Argentina.
Acta Gastroenterol Latinoam 2026;56(1):114-118
Recibido: 26/07/2025 / Aceptado: 02/03/2026 / Publicado online: 31/03/2026 / https://doi.org/10.52787/agl.v56i1.523
El hemangioendotelioma infantil es el tumor mesenquimatoso benigno más frecuente en el hígado y se presenta habitualmente en los primeros seis meses de vida. Aunque la alfa-fetoproteína sérica es un marcador tumoral de relevancia significativa en casos de hepatoblastoma, carcinoma hepatocelular y tumores de células germinales, en los pacientes con hemangioendotelioma hepático infantil rara vez se observan niveles elevados. En esos casos, dado que los diagnósticos diferenciales tienen pronósticos diferentes, se deben considerar estrategias diagnósticas accesibles con el objetivo de definir conductas. Aún no se ha esclarecido la causa exacta de la elevación de la alfa-fetoproteína en el hemangioendotelioma, si bien en algunos estudios se ha demostrado que los hepatocitos atrapados cerca del tumor son los responsables del aumento de los niveles séricos. En este trabajo describimos un caso clínico de hemangioendotelioma hepático infantil solitario como presentación clínica poco común con elevación de dicho marcador tumoral.
Palabras claves. Hemangioma hepático, propranolol, tumor vascular, alfa-fetoproteina.
Infantile hemangioendothelioma is the most common benign mesenchymal tumor of the liver and usually occurs within the first six months of life. Although serum alpha-fetoprotein is a significant tumor marker in cases of hepatoblastoma, hepatocellular carcinoma and germ cell tumors, elevated levels are rarely observed in patients with infantile hepatic hemangioendothelioma. In such cases, given that the differential diagnoses have different prognoses, accessible diagnostic options should be sought in order to to guide clinical management. The exact cause of alpha-fetoprotein elevation in hemangioendothelioma has not yet been clarified, although some studies have shown that hepatocytes trapped near the tumor are responsible for the increased serum levels. In this paper, we describe a clinical case of solitary infantile hepatic hemangioendothelioma as a rare clinical presentation with elevation of this tumor marker.
Keywords. Hepatic hemangioma, propranolol, vascular tumor, alpha-fetoprotein.
Abreviaturas
IHE: Hemangioendotelioma infantil.
AFP: Alfa-fetoproteína sérica.
RMN:
Resonancia magnética nuclear.
HCC: Carcinoma hepatocelular.
El hemangioendotelioma infantil (IHE) es el tumor vascular más común en el hígado de los niños, representando alrededor del 20% de todos los tumores hepáticos primarios que pueden presentarse en la población pediátrica, con una prevalencia aproximada de 1%.1 Se diagnostica con mayor frecuencia antes de los seis meses de vida -hasta en el 90% de los casos- y cerca de un tercio de los casos se identifica durante el primer mes.1 Estas lesiones pueden presentarse como masas únicas o múltiples; aunque muchas son asintomáticas y se descubren de forma incidental, otras pueden comprometer la función hepática o generar manifestaciones clínicas como hepatomegalia o insuficiencia cardíaca de alto gasto.2-3 Su comportamiento natural se caracteriza por un crecimiento progresivo durante el primer año de vida, seguido en muchos casos por una regresión espontánea.4 Sin embargo, las formas múltiples suelen ser de más difícil manejo, asociándose a una tasa de mortalidad de hasta el 70%. Uno de los principales desafíos clínicos del IHE es el diagnóstico diferencial con tumores hepáticos malignos como el hepatoblastoma, especialmente cuando se presentan niveles elevados de alfa-fetoproteína (AFP),1, 3, 5-6 marcador típicamente asociado a neoplasias malignas. Aunque en el IHE la AFP ajustada por edad rara vez se encuentra elevada, se han documentado casos en los que esto ocurre.3, 5, 6 Es posible que los responsables de dicho aumento de AFP sean los hepatocitos atrapados o adyacentes al tumor.3, 5 En tales contextos, la correcta interpretación clínica y el uso adecuado de las imágenes son fundamentales para evitar procedimientos invasivos innecesarios,7 aunque en algunos casos puede ser necesario recurrir a la resección quirúrgica para descartar malignidad. Presentamos un caso de IHE con elevación de AFP.
Presentación de caso
El paciente es un lactante de 2 meses, derivado a nuestro centro por hipotonía generalizada.
Antecedentes personales: recién nacido a término, embarazo controlado, serologías maternas negativas, parto vaginal, APGAR 9/9.
Enfermedad actual: presentó taquipnea transitoria que requirió oxigenoterapia durante 24 horas. Se constató hiperCPKemia (CPK de 167.329 UI/L) y se indicó derivación para su estudio.
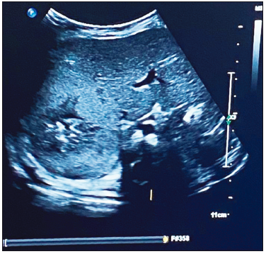
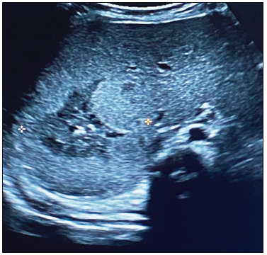
Al ingreso presentó hipotonía axial sin dismorfias. Se solicitó una ecografía abdominal en la que se visualizó una imagen ecogénica hepática (segmento VI - VII), con bordes difusos, de 4 x 3.5 x 3.1 cm, que coincidió bioquímicamente con el aumento de las enzimas hepáticas y leve anemia. La AFP estaba dentro de valores normales para la edad (42,334 ng/ml), con plaquetas normales. (Figuras 1 A B C).
Figura 1. A
Figura 1. B
Figura 1. C
Posteriormente se solicitó angio-RMN con contraste, donse se observó una lesión focal hepática compatible con un tumor vascular (4.8 x 5,9 cm).
Se realizaron controles semanales de laboratorio. La curva de tendencia mostró un ascenso progresivo de AFP y trombocitosis sostenida (ver Tabla 1). Paralelamente, se encontró anemia y alteración leve de las enzimas hepáticas.
Tabla 1. Evolución de los parámetros analíticos del paciente
Tras realizar interconsultas con los servicios de oncología, hepatología y cirugía, se diagnosticó IHE. El paciente permaneció clínicamente estable, sin presentar visceromegalias ni signos de sobrecarga hemodinámica. Se decidió adoptar una conducta expectante.
Al constatarse crecimiento tumoral con efectos sobre las venas suprahepáticas, se indicó tratamiento con propanolol (1,13 mg/kg/día). Se realizó una ecografía control que mostró aumento del tamaño tumoral. Se incrementó progresivamente la dosis de propanolol hasta llegar a 2 mg/kg/día, con evaluaciones cardiológicas quincenales.
En cuanto al aspecto neurológico, se enviaron muestras a Brasil para estudios genéticos. Se llegó al diagnóstico de distrofia congénita merosina negativa (gen LAMA2, homocigota).
La evolución clínica y la tendencia descendente de la AFP permitieron evitar tratamientos invasivos.
El hemangioendotelioma infantil es el tumor vascular hepático más frecuente en pediatría.1 Si bien suele tener una evolución benigna con tendencia a la regresión espontánea, en algunos casos puede presentar complicaciones que requieren intervención.1, 4 Se clasifica en dos tipos: tipo 1, solitario y bien delimitado, con menor riesgo de complicaciones; y tipo 2, caracterizado por lesiones múltiples o difusas, asociado a mayor riesgo de insuficiencia cardíaca de alto gasto y mortalidad.1, 4, 7 El caso que presentamos corresponde a un IHE tipo 1, con evolución clínica favorable.
Uno de los principales desafíos diagnósticos en estos pacientes es la interpretación de los niveles de AFP. Si bien esta proteína es producida fisiológicamente por el hígado en desarrollo, su elevación sostenida fuera del rango esperado para la edad puede hacer sospechar la presencia de tumores malignos como el hepatoblastoma.3, 6 Sin embargo, se han descripto casos de IHE con AFP elevada,1, 3, 5-6 fenómeno que no parece originarse en el tejido tumoral propiamente dicho, sino en hepatocitos normales atrapados o adyacentes al tumor.
Estudios inmunohistoquímicos han demostrado que las células endoteliales del hemangioendotelioma no expresan AFP, mientras que los hepatocitos vecinos sí lo hacen. Kim y col. (2010) observaron este patrón en casos de hemangioma hepático, lo que sugiere un origen extra-tumoral para la elevación de la AFP3. Más recientemente, Itinteang y col. (2016) confirmaron mediante análisis de expresión génica que las células tumorales carecen de transcripción activa del gen de AFP.5 Se postula que los hepatocitos atrapados podrían activarse de forma regenerativa o displásica ante estímulos como hipoxia local, estrés metabólico o factores angiogénicos secretados por el tumor, contribuyendo así a la secreción de AFP.
En este contexto, la evaluación por imágenes adquiere un rol clave. La ecografía doppler es generalmente la primera herramienta diagnóstica, seguida por la resonancia magnética (RM) con contraste,7 que permite una mejor caracterización de las lesiones y su patrón vascular. La biopsia hepática debe reservarse para casos en los que la presentación clínica e imagenológica no permitan descartar una neoplasia maligna,4, 7 o cuando la evolución clínica no es favorable.
El tratamiento del IHE depende del estado clínico del paciente. En casos asintomáticos o con síntomas leves, es adecuado el seguimiento expectante. En cambio, frente a complicaciones como insuficiencia cardíaca, coagulopatías o compresión de las estructuras vasculares, puede ser necesario iniciar el tratamiento farmacológico o incluso considerar opciones quirúrgicas. En los últimos años, el propranolol -un betabloqueante no selectivo- se ha establecido como tratamiento de primera línea para los hemangiomas infantiles, incluyendo los hepáticos.4, 7-8 Su eficacia se explica por varios mecanismos: vasoconstricción inmediata, inhibición de la angiogénesis (por reducción de la expresión de VEGF y bFGF), e inducción de apoptosis en las células endoteliales tumorales.4
En el caso presentado, el propranolol no sólo indujo una reducción parcial del tamaño tumoral, sino también un descenso progresivo de los niveles de AFP, apoyando la hipótesis de que estos valores elevados se debían a hepatocitos funcionales atrapados más que a la transformación maligna.3, 5 Este hallazgo destaca la importancia de integrar adecuadamente la clínica, el laboratorio y los hallazgos por imágenes para evitar intervenciones innecesarias o tratamientos oncológicos inapropiados.
Por último, la asociación del IHE con distrofia muscular congénita, no descrita previamente en la literatura revisada, sugiere la necesidad de un enfoque integral y multidisciplinario ante pacientes con presentaciones atípicas o comorbilidades poco frecuentes.
El caso presentado subraya la complejidad diagnóstica del IHE con elevación de AFP, hallazgo inusual que puede generar confusión con tumores malignos. El IHE debe ser considerado en el diagnóstico diferencial de lesiones hepáticas en lactantes, incluso ante niveles elevados de AFP. La evaluación multidisciplinaria y el seguimiento clínico evitaron intervenciones innecesarias. El tratamiento con propranolol resultó efectivo, aunque requirió un ajuste de la dosis, lo cual resalta la importancia de un monitoreo cercano.
Este reporte contribuye al conocimiento sobre la variabilidad clínica del IHE y refuerza la necesidad de considerar diagnósticos diferenciales en aquellos casos con elevación de AFP.
Consentimiento para la publicación. Para la confección de este manuscrito, se utilizaron datos anonimizados que no han distorsionado su significado científico.
Propiedad intelectual. Las autoras declaran que los datos y las figuras presentes en el manuscrito son originales y se realizaron en sus instituciones pertenecientes.
Financiamiento. Las autoras declaran que no hubo fuentes de financiación externas.
Conflicto de interés. Las autoras declaran no tener conflictos de interés en relación con este artículo.
Aviso de derechos de autor

© 2026 Acta Gastroenterológica Latinoamericana. Este es un artículo de acceso abierto publicado bajo los términos de la Licencia Creative Commons Attribution (CC BY-NC-SA 4.0), la cual permite el uso, la distribución y la reproducción de forma no comercial, siempre que se cite al autor y la fuente original.
Cite este artículo como: Valberdi Lecce M L, Arregui M C, Otegui Banno C L y col. Hemangioendotelioma hepático infantil con elevación de alfa-fetoproteína: reporte de caso y revisión. Acta Gastroenterol Latinoam. 2026;56(1):114-118. https://doi.org/10.52787/agl.v56i1.523
Correspondencia: María Laura Valberdi Lecce
Correo electrónico: valberdilaura@gmail.com
Acta Gastroenterol Latinoam 2026;56(1):114-118