Tatiana Noemí Uehara ID· Juan Manuel de Arechavala ID· Fernanda Dorado ID· Verónica Eugenia Corvalán ID· Fernando Bocelo ID· Betiana Pucci ID
Clínica Adventista Belgrano.
Ciudad Autónoma de Buenos Aires, Argentina.
Acta Gastroenterol Latinoam 2026;56(1):57-58
Recibido: 07/10/2025 / Aceptado: 03/03/2026 / Publicado online el 31/03/2026 / https://doi.org/10.52787/agl.v56i1.551
Mujer de 36 años, sin antecedentes patológicos, quien presentaba epigastralgia postprandial asociada a
saciedad precoz y a pérdida de 7 kg, de 4 semanas de evolución, sin mejoría con inhibidores de la bomba de
protones (IBP). Agregó dolor en flanco izquierdo, motivo por el cual consultó a la guardia. En el examen físico
presentó dolor durante la palpación de epigastrio y flanco izquierdo, sin defensa ni reacción
peritoneal.
Refirió mejoría sintomática en decúbito lateral izquierdo. En la evaluación nutricional
presentó riesgo de desnutrición en la valoración global subjetiva, con un índice de masa corporal de 21,8
kg/m2. En el laboratorio presentó hemograma, hepatograma, creatinina, amilasa y lipasa dentro de los
valores normales; serologías virales para HCV, HBV y HIV negativas, anticuerpos anti transglutaminsa IgA y
antipéptido deaminado de gliadina negativos. El estudio de orina no evidenció hematuria ni proteinuria. Se
realizó una videoendoscopía digestiva alta la cual fue normal hasta la segunda porción duodenal. Se tomaron
muestras de biopsias gástricas y duodenales que no presentaron hallazgos patológicos relevantes.
Dado que la paciente presentaba dolor abdominal asociado a pérdida de peso, sin mejoría sintomática con IBP, se realizó una tomografía computada de abdomen y pelvis con contraste oral y endovenoso (ver imágenes).
Figura 1. En el corte sagital de la TC de abdomen con contraste se observa la
reducción del ángulo aorto-mesentérico de 16,9°
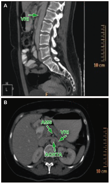
Figura 2. En el corte sagital (A) y axial (B) de la TC de abdomen con contraste se
observa el estrechamiento del compás aorto-mesentérico que comprime la tercera porción duodena
Figura 3. En el corte sagital (A) y axial (B) de la TC de abdomen con contraste, se
observa el estrechamiento del compás aorto-mesentérico que comprime la vena renal izquierda
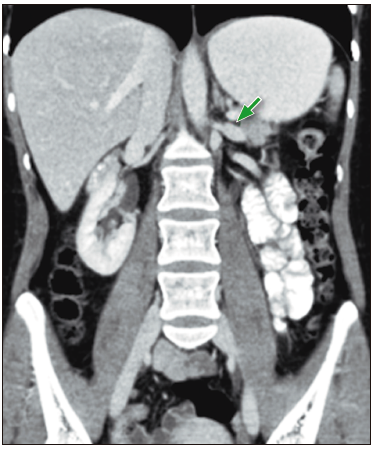
Figura 4. En el corte coronal de la TC de abdomen con contraste, se observa la
dilatación retrograda de la vena renal izquierda
Resolución del caso en la página 119
Correspondencia: Tatiana Noemí Uehara
Correo electrónico: tatianauehara@hotmail.com
Acta Gastroenterol Latinoam 2026;56(1):57-58